Contactează-ne!
Ai simptome care te supără? Solicită chiar acum un sfat medical specializat.
Dr. Felix Dobritoiu, medic specialist chirurgie toracica si coordonatorul Departamentului de Chirurgie Toracica din Ponderas Academic Hospital a operat cu succes prin chirurgie toracica minim-invaziva (VATS) uniportal (printr-o singura incizie) multiple cazuri dificile, printre care cel al unui pacient in varsta de 68 de ani cu bronsiectazii severe.
Pacientul fusese operat in 2003, in alta clinica, pentru bronsiectazii post TBC (post tuberculoase), cand i s-a facut lobectomie inferioara stanga, prin abord clasic (s-a indepartat lobul pulmonar inferior stang), printr-o incizie de mari dimensiuni. Recuperarea dupa operatie a fost lunga si extrem de grea. Intre timp, bronsiectaziile au evoluat si au distrus si lobul restant. Pacientul avea infectii respiratorii joase repetate si hemoptizii (tuse cu expectoratie cu sange) care s-au accentuat in ultima perioada.
Avea indicatie de pneumonectomie de completare prin excizia lobului restant, indepartandu-se astfel intregul plaman stang afectat de bronsiectazii. De data aceasta, operatia s-a efectuat minim-invaziv, printr-o tehnica moderna de chirurgie toracica video-asistata - VATS uniportal. Intreaga operatie s-a efectuat printr-o singura incizie (uniportal) de doar 4 centimetri, fara departator de coaste, ceea ce a contribuit semnificativ la recuperarea rapida.
Interventia a necesitat 8 ore, fiind extrem de dificila din cauza aderentelor multiple si foarte dure care au fost indepartate cu multa minutioziate si precizie. Odata aderentele indepartate, s-a efectuat rezectia anatomica a lobului restant. Acesta a fost extras in afara toracelui intr-un endobag (sac de siguranta) pentru a preveni contaminarea plagii. Dupa controlul cu atentie a pierderilor de aer si al hemoragiei, toracele a fost inchis, montandu-se un singur tub de dren, plasat in partea posterioara a inciziei. Evolutia pacientului a fost foarte buna, acesta s-a mobilizat la cateva ore, iar tubul de dren a fost suprimat la 48 de ore. Radiografia pulmonara de control a evidentiat aspect normal postoperator.
Atunci cand este efectuata de catre chirurgi toracici cu experienta, lobectomia VATS uniportala pentru rezectia formelor severe de bronsietazii reprezinta o alternativa fezabila si sigura la chirurgia deschisa conventionala, avand toate avantajele chirurgiei minim-invazive. Diferenta in recuperare a fost considerabil resimtita de catre pacient: durererea a fost semnificativ mai mica, spitalizarea a fost de doar 48 de ore si refacerea rapida, in 4 saptamani.

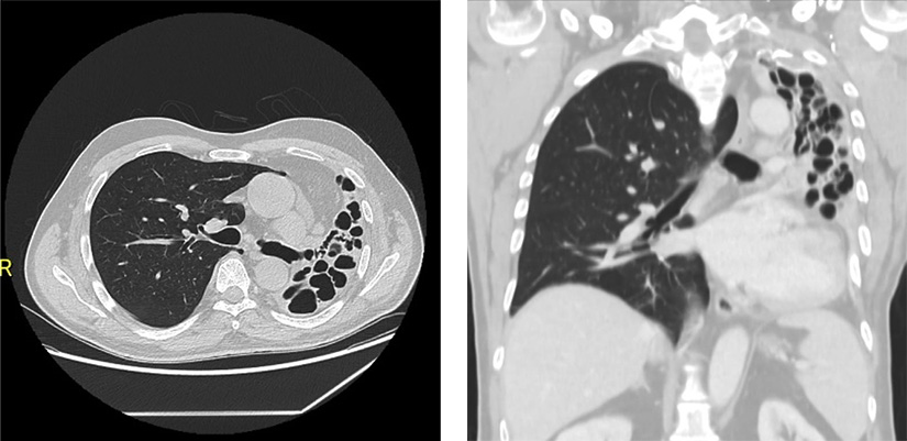
Examenul CT toracic arata distructia completa a plamanului restant stang prin bronsiectazii chistice mari de pana la 3 cm. Nu se evidentiaza deloc structura pulmonara normala.
Ce sunt bronsiectaziile
Bronsiectaziile reprezinta o boala cronica (de lunga durata) la nivelul plamanilor. Se caracterizeaza prin dilatarea permanenta anormala a bronhiilor (tuburi care conecteaza traheea de alveolele pulmonare unde se face schimbul gazos) ca urmare a distrugerii peretelui bronsic. Bronhiile devin mai largi decat normal si distorsionate ceea ce favorizeaza stagnarea de mucus, cu cresterea riscul de infectie. Aceasta determina inflamatia bronhiilor, care are drept consecinta lezarea in continuare a bronhiilor, cu perpetuarea infectiei si afectarea tesutului pulmonar sanatos din vecinatate. Bronsiectaziile apar frecvent ca o consecinta a inflamatiei si infectiilor pulmonare joase repetate. Reprezinta inca o mare problema de sanatate in tarile subdezvoltate, desi incidenta (numarul de cazuri noi) este mica, de 0.06% in tarile dezvoltate.
Pacientii sufera de tuse cronica, productie excesiva de sputa, declinul progresiv al functiei respiratorii si hemoptizie (expectoratie cu sange) recurenta sau severa, care poate pune viata in pericol. Tomografia computerizata toracica de inalta rezolutie (HRCT) este investigatia imagistica de referinta, deoarece poate detecta cu mare acuratete distributia si extensia modificarilor bronsiectatice. Extinderea bolii observata la examenul CT se coreleaza cu calitatea vietii si declinul functional respirator ulterior.
Majoritatea pacientilor cu bronsiectazii localizate, in stadiul precoce, pot fi tratati cu antibiotice si kinetoterapie toracica, insa aceia care nu raspund la acest tratament sunt eligibili pentru managementul chirurgical.
Procesul care cauzeaza formarea bronhiectaziilor este ireversibil si numai rezectia segmentelor bronsiectatice implicate ofera posibilitatea unei vindecari. Scopul operatiei este imbunatatirea calitatii vietii pacientului si asigurarea exciziei complete a bronsiectaziilor. Pe de o parte, rezectia chirurgicala permite indepartarea tesutului pulmonar compus din bronhii nefunctionale. Pe de alta parte, sunt indepartate acele zonele de tesut pulmonar la nivelul carora antibioticele penetreaza cu dificultate si care, astfel, devin un rezervor pentru microbi, adesea rezistenti la antibiotice, ceea ce poate sa afecteze structura tesutului sanatos din vecinatate si astfel sa se intretina procesul patologic.
Chirurgia pentru indepartarea bronsiectaziilor localizate implica scoaterea segmentului (segmentectomie) sau a lobului (lobectomie) de plaman afectat. Exista 2 moduri de realizare a interventiei:
- Prin toracotomie, denumita si chirurgie deschisa, care consta in deschiderea peretelui toracic printr-o incizie lunga
- Printr-o interventie minim-invaziva, denumita chirurgie toracica video-asistata (VATS), prin care abordul se face prin cateva incizii mici, fara departarea coastelor.
Lobectomia VATS uniportala: o optiune si mai putin invaziva pentru tratamentul bronsiectaziilor
Chirurgia toracoscopica video-asistata (VATS) se poate efectua prin 3 sau 4 incizii mici, cea mai mare avand aproximativ 4 cm, procedura numindu-se VATS multiportal.
Insa domeniul, relativ tanar, al chirurgiei minim-invazive continua sa evolueze. Progresul in tehnicile toracoscopice si in instrumentarul folosit a facut posibil ca numarul de incizii sa scada la una - VATS uniportal. Incepand cu anul 2011 cand a fost publicata prima serie de cazuri de lobectomie prin chirurgie toracoscopica video-asistata printr-o singura incizie, aceasta tehnica a devenit o alternativa si mai putin invaziva fata de abordarea VATS conventionala.
Chirurgia toracoscopica video-asistata (VATS) - optiune sigura si fezabila pentru tratamentul bronsiectaziilor severe
La inceputul anilor ‘90, chirurgia toracoscopica video-asistata (VATS) a marcat o inovatie importanta in chirurgia toracica pentru cancerul pulmonar in stadii precoce, iar in ultimii 20 ani, a devenit o procedura frecventa, cu rezultate promitatoare si pentru rezectia bronsiectaziilor localizate. Dintre bolile pulmonare benigne (necanceroase), bronsiectaziile reprezinta cea mai frecventa indicatie pentru lobectomia VATS (indepartarea minim-invaziva a lobului pumonar care contine bronsiectaziile).
Totusi, in cazul bronsiectaziilor, provocarea in realizarea rezectiei anatomice pulmonare depinde de situatia locala, si in special de prezenta aderentelor care se formeaza in contextul inflamatilor repetate si de lunga durata. Disectia (sectionarea) aderentelor cu eliberarea plamanului si a hilului pulmonar este esentiala pentru rezectia anatomica pulmonara. Aderentele dense, dure la peretele toracic, hil (zona prin care patrund in plaman bronhia, vasele si nervii) si mai ales in scizura dintre lobi ar putea reprezenta un factor limitativ cheie pentru lobectomia VATS.
Unii chirurgi considera ca pacientii cu aderente severe, ca de exemplu in cazul lobilor distrusi dupa tuberculoza sau cu multiple adenopatii (marirea ganglionilor limfatici) calcificate in jurul bronhiilor, nu sunt candidati buni pentru acest tip de operatie minim-invaziva si prefera chirurgia deschisa in astfel de cazuri.
In schimb, exista chirurgi cu experienta in domeniul lobectomiilor VATS pentru cazuri complexe de boli inflamatorii cum sunt bronsiectaziile care nu considera aderentele un obstacol.
„Fiecare milimetru a trebuit disecat!”
„Severitatea acestui caz a fost notabila si a putut fi evidentiata la examenul CT toracic de inalta rezolutie care a evidentiat un plaman restant distrus in totalitate, complet ocupat de multiple bronsiectazii chistice, unele avand dimensiunea de peste 3 centimetri, care comunicau intre ele. La patrunderea in cavitatea pleurala s-a observat ca plamanul era aderent pe toate suprafetele.
Disectia a fost extrem de dificila datorita aderentelor foarte dure si raporturilor acestora cu structurile anatomice vasculare delicate. Totul era lipit, inclusiv de inima si de aorta, locuri unde de obicei nu se se formeaza aderente. Fiecare milimetru a trebuit disecat! Asta a insemnat ore de concentrare maxima si atentie, de disectie delicata si precisa. Interventia a durat 8 ore si in final am reusit sa disecam anatomic, in conditii de sigurata, intregul plaman restant modificat.
Aderentele de volum si duritate diferite, unele foarte dense, pot complica procedura, insa nu ar trebui considerate o contraindicatie absoluta pentru lobectomia VATS. Fara indoiala, vizualizarea exceptionala pe care o ofera folosirea video-toracoscopului permite o mai buna manipulare a acestora, iar instrumentarul chirurgical modern a facilitat reducea sangerarii in timpul adenolizei (taierii aderentelor).
Toracotomia, operatia efectuata clasic, printr-o incizie de mare dimensiune, nu ar fi ajutat neaparat la depasirea acestor obstacole, in schimb ar fi facut ca recuperarea sa fie mult ingreunata. De aceea, pentru a minimiza agresiunea chirurgicala, nu numai ca am optat pentru un abord chirurgical prin incizii mici, ci am folosit una dintre cele mai noi si mai moderne tehnici operatorii toracice minim-invazive - chirurgia video-asistata uniportala (VATS uniportal). Intreaga operatie s-a efectuat printr-o singura incizie de doar 4 centimetri, iar asta a contribuit decisiv la recuperarea imediata, fara dureri si la mobilizarea rapida dupa interventie. Dupa 2 zile de la operatie, pacientul a plecat acasa, iar asta a insemnat o mare diferenta in procesul de refacere de care a beneficiat din plin. - a sublinitat Dr. Felix Dobritoiu, medic chirurg toracic, provocarea acestui caz de bronsiectazii severe si avantajele folosirii tehnicilor moderne de chirurgie toracica.
Dr. Felix Dobritoiu este medic specialist chirurgie toracica si coordonatorul Departamentului de Chirurgie Toracica din Ponderas Academic Hospital. Opereaza minim-invaziv prin abord video-asistat (VATS) aproape toate afectiunile accesibile prin chirurgie toracica deschisa, de la interventii in scop de diagnostic la cele curative sau paleative. In cazul bronsiectaziilor, in functie de extinderea acestora, Dr. Dobritoiu efectueaza prin chirurgie toracoscopica video-asistata segmentectomie VATS (indepartarea segmentului de plaman cu bronsiectazii) sau lobectomie VATS (indepartarea lobului de plaman cu bronsiectazii). Scopul este de a efectua o rezectie completa si anatomica cu conservarea a cat mai multa functie pulmonara posibil, pentru a evita limitarea cardiorespiratorie postoperatorie.

Aspectul cicatricei dupa chirurgia clasica din 2003 (llinia rosie) vs. dupa chirurgia minim-invaziva VATS uniportala (linia verde)
Chirurgia toracoscopica video-asistata (VATS) vs. chirurgia toracica clasica - avantaje clare
Clasic, interventia chirurgicala la nivelul toracelui se efectueaza prin departarea coastelor, cu ajutorul unui departator mecanic special, care se introduce intre doua coaste. Departarea trebuie sa fie suficient de mare, astfel incat instrumentele de chirurgie deschisa sau mainile chirurgului sa aiba acces in cavitate, ceea ce face ca, de multe ori, sa se ajunga la incizii la nivelul pielii de 15 - 25 centimetri. Departarea coastelor se soldeaza de multe ori cu fracturi costale, leziuni la nivelul vaselor de sange si nervilor intercostali, agresiuni care vor genera dureri luni de zile post-operator, uneori chiar ani.
Pe de alta parte, chirurgia toracica video-asistata (VATS) se bazeaza pe faptul ca nu mai este necesara o vizualizare directa a cavitatii toracice, aceasta fiind inspectata cu ajutorul unor instrumente optice speciale, de mici dimensiuni, care pot fi introduse prin orificii foarte mici. Chirurgia VATS se efectueaza prin intermediul a una sau 3-4 incizii mici, cea mai mare avand 4-5 centimetri, prin care chirurgul toracic va introduce o camera video special conceputa (video-toracoscop). Cu ajutorul toracoscopului structurile din torace marite pana la 10x pot fi vizualizate pe un monitor HD aflat in sala de operatie. Chirurgul va folosi instrumente chirurgicale de mare finete adaptate chirurgiei minim-invazive. Spatiul intercostal va fi pastrat in pozitie anatomica pe toata durata interventiei chirurgicale. Coastele nu vor fi departate, excluzandu-se astfel aparitia fracturilor costale si a rupturilor musculare, precum si lezarea nervului si vaselor intercostale. Disectia muschilor intercostali se va practica pe o lungime mult inferioara abordului clasic, nemaifiind necesara apropierea coastelor cu fire, care de obicei produce dureri mari post-operator.
Ca urmare a minimei agresiuni chirurgicale, avantajele VATS pentru pacient sunt importante:
- Durerea post-operatorie este semnificativ mai mica - Disconfortul de scurta durata cauzat de incizia mica este in general bine controlat cu medicamente antialgice obsinuite.
- Functia pulmonara in perioada postoperatorie imediata este mai buna - Datorita lipsei durerii, pacientul respira mult mai bine post-operator. Acest lucru il ajuta sa elimine eficient secretiile pulmonare si sa aiba o saturatie optima a oxigenului in sange.
- Complicatiile intra-operatorii sunt mai putine - Folosirea instrumentarului avansat (stapler endoscopic, pense electrice endoscopice, disector cu ultrasunete) permite ca rata complicatiilor intra- si post-operatorii sa fie foarte mica. < 5% dintre pacientii operati VATS prezinta complicatii postoperatorii, comparativ cu 30% in cazul operatiei clasice. Ca urmare a lipsei sangerarilor si a pierderilor aeriene din plaman, drenajul pleural poate fi suprimat la 24/48 de ore post-operator.
- Spitalizarea este redusa - Recuperarea imediata dupa operatie este rapida, pacientul poate merge dupa cateva ore si in majoritatea cazurilor se va intoarce acasa dupa 2 zile. Pacientii cu toracotomie clasica necesita spitalizare de 7-10 zile.
- Cicatricea are un aspect estetic - Dimensiunea redusa a inciziilor determina cicatrici minime, ceea ce reprezinta un mare avantaj estetic.
- Recuperarea dupa operatie este rapida -Toate aceste avantaje duc la o recuperare mult mai rapida a pacientului. Dupa 4-6 saptamani, pacientul isi poate relua munca (daca activitatea este sedentara), poate conduce si poate efectua majoritatea activitatilor care nu implica un efort intens. Exercitiile fizice riguroase si ridicarea de greutati pot fi reluate dupa 6-12 saptamani de la operatie.
Surse de informatie:
Video-Assisted Thoracic Surgery for Bronchiectasis www.annalsthoracicsurgery.org
Overview of uniportal video-assisted thoracic surgery (VATS): past and present www.annalscts.com
Single-Port Thoracoscopic Anatomic Resection for Chronic Inammatory Lung Disease www.assets.researchsquare.com
Uniportal versus multiport video-assisted thoracoscopic surgery for anatomical lung resections: a glance at a dilemma www.ncbi.nlm.nih.gov
Technical difficulties and extending the indications for VATS lobectomy www.jtd.amegroups.com
Uniportal thoracoscopic treatment in bronchiectasis patients: preliminary experience www.pubmed.ncbi.nlm.nih.gov
Text: Dr. Ileana Andreescu, Senior Medical Content Writer
Consultant: Dr. Felix Dobritoiu este medic specialist chirurgie toracica, Ponderas Academic Hospital