Contactează-ne!
Ai simptome care te supără? Solicită chiar acum un sfat medical specializat.
Bronsiectaziile se caracterizeaza prin dilatarea anormala a bronhiilor si apar frecvent ca o consecinta a infectiilor pulmonare joase repetate. Pacientii sufera de tuse cronica, productie excesiva de sputa, declinul progresiv al functiei respiratorii si hemoptizie (expectoratie cu sange), care poate pune viata in pericol. Majoritatea pacientilor pot fi tratati cu antibiotice si kinetoterapie toracica, insa aceia care nu raspund la acest tratament pot fi eligibili pentru managementul chirurgical. In Departamentul de Chirurgie Toracica din Ponderas Academic Hospital, chirurgii toracici opereaza bronsiectaziile localizate printr-o tehnica inovatoare prin abord minim-invaziv - chirurgie toracica video-asistata (VATS).
Tratamentul bronsiectaziilor
Tratamentul bronhiectaziilor are ca scop reducerea obstructiei cailor respiratorii si eliminarea microorganismelor din tractul respirator inferior si include: medicamente, cum ar fi antibiotice, bronhodilatoare si corticosteroizi inhalatori si masuri nonfarmacologice, cum ar fi fizioterapia toracica posturala. Proceduri chirurgicale care implica indepartarea portiunii afectate de plaman se fac cu scopul de a imbunatati calitatea vietii pentru acei pacienti la care tratamentul medical a esuat si pentru a rezolva complicatii cum ar fi empiemul (puroi in cavitatea pleurala), hemoptizia severa sau recurenta si abcesul pulmonar (colectie purulenta in plaman).
Tratamentul chirurgical al bronsiectaziilor
Rezectia chirurgicala trebuie sa fie rezervata pacientilor cu bronsiectazii localizate care au esuat in managementul medical si au simptome persistente care afecteaza negativ calitatea vietii acestora. Pacientii cu boala segmentara unilaterala au cele mai bune rezultate. Chirurgia pentru indepartarea bronsiectaziilor localizate implica scoaterea segmentului sau lobului de plaman afectat, operatia avand denumirea de segmentectomie pulmonara, respectiv lobectomie pulmonara. Exista 2 moduri de realizare a interventiei – prin toracotomie, numita si chirurgie deschisa, care consta in deschiderea peretelui toracic printr-o incizie lunga, si printr-o interventie minim invaziva, toracoscopie sau chirurgie toracica video-asistata (VATS), prin care abordul se face prin cateva mici incizii, fara departarea coastelor.
Conceptul de baza care sustine tratamentul chirurgical al bronsiectaziilor localizate
Procesul care cauzeaza formarea bronhiectaziilor este ireversibil si numai rezectia segmentelor bronsiectatice implicate ofera posibilitatea unei vindecari. Conceptul de baza din spatele interventiei chirurgicale este de a indeparta acele zone de tesut pulmonar care sunt afectate permanent, la nivelul carora antibioticele penetreaza cu dificultate si care, astfel, devin un rezervor pentru microbi, ceea ce va duce la infectii recurente. Indepartarea bronhiilor bolnave va modifica modelul care intretinere si permite progresia bolii: exacerbare infectioasa, cu distrugerea progresiva a bronhiilor, urmata de reinfectare si samd.
Succesul interventiei chirurgicale presupune:
- Rezectia completa a tuturor ariilor afectate
- Interventia relativ timpurie pentru a preveni dezvoltarea organismelor rezistente si raspandirea in segmentele pulmonare adiacente
- Terapie antimicrobiana tintita pe baza sensibilitatii germenilor inainte de operatie
- Continuarea tratamentului cu antibiotice postoperator
- Suplimente nutritive pre-operatorii, atunci cand este indicat
- Anticiparea eventualelor complicatii care ar putea modifica abordarea chirurgicala
Chirurgia toracoscopica video-asistata (VATS) pentru tratamentul bronsiectaziilor localizate
Datorita dezvoltarii tehnicilor chirurgicale, chirurgia toracoscopica video-asistata (VATS) pentru rezectia bronsiectaziilor a devenit o procedura frecventa in ultimii ani, cu rezultate promitatoare.
Indicatiile pentru rezectia VATS raman aceleasi ca si pentru rezectia conventionala. In cazuri selectionate, VATS este o alternativa la chirurgia deschisa conventionala. Bronchiectaziile localizate la un anumit segment sau lob sunt considerate afectiunea pulmonara benigna cea mai potrivita pentru segmentectomia, respectiv lobectomia pulmonara VATS. Totusi, pacientii cu cicatrici severe si aderente evidentiate la CT toracic nu sunt candidati buni pentru acest tip de interventie.
Avantaje rezectiei bronsiectaziilor prin chirurgie toracoscopica video-asistata (VATS)
Rezectia bronsiectaziilor prin chirurgia toracoscopica video-asistata (VATS) este o procedura sigura atunci cand este efectuata de medici chirurgi toracici cu experienta.
In Ponderas Academic Hospital, Dr. Felix Dobritoiu, medic specialist chirurgie toracica, opereaza minim-invaziv prin abord video-asistat aproape toate afectiunile accesibile prin chirurgie toracica deschisa, de la interventii in scop de diagnostic la cele curative sau paleative.
In cazul bronsiectaziilor, in functie de extinderea acestora, Dr. Dobritoiu efectueaza prin chirurgie toracoscopica video-asistata (VATS) segmentectomie pulmonara (indepartarea segmentului de plaman cu bronsiectazii) sau lobectomie pulmonara (indepartarea lobului de plaman cu bronsiectazii). Scopul este de a efectua o rezectie completa si anatomica cu conservarea a cat mai multa functie pulmonara posibil pentru a evita limitarea cardiorespiratorie postoperatorie.
Beneficiile pentru pacient sunt importante in cazul rezectiei bronsiectaziilor localizate prin VATS. Comparativ cu interventia chirurgicala deschisa, durerea postoperatorie este mai putin frecventa. Alte avantaje sunt:
- Complicatii intra-operatorii mai putine
- Functie pulmonara mai buna in perioada postoperatorie imediata
- Durata mai scurta de spitalizare
- Recuperare mai rapida, cu reluarea mai devreme a activitatilor de zi cu zi
- O mai buna calitate a vietii dupa recuperare
“Desi mi-a fost teama la inceput, nu am stiut ca trec printr-o operatie. M-am simtit incredibil de bine imediat. La trei zile dupa interventie eram deja acasa, faceam plimbari scurte. Si dupa doar o saptamana, mi-am reluat activitatea de zi cu zi. Multumesc intregei echipe – medici si asistente - pentru profesionalism, si in mod special Dl. Dr. Felix Dobritoiu, pentru grija si empatia pe care mi-a aratat-o. A tinut cont de toate temerile si nevoile mele speciale, mi-a explicat tot ce urma sa se intample, m-a vizitat zilnic. M-am simtit in siguranta si asta a contat foarte mult pentru mine.” – ne-a spus o pacienta tanara care a fost operata prin lobectomie pulmonara VATS pentru bronsiectazii localizate in lobul mediu care ii produceau pneumonii repetate.
Evaluarea pacientului inainte de operatie
Diagnosticul si localizarea bronhiectaziilor se face folosind tehnici radiografice standard:
- Radiografiile toracice sunt adesea anormale si arata prezenta de zone focale de consolidare, atelectazie si uneori, bronhii ingrosate
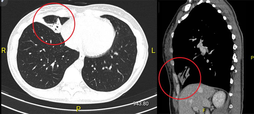
- Tomografia computerizata de inalta rezolutie (HRCT) a inlocuit bronhograma de contrast ca standardul de aur pentru diagnosticul imagistic al bronhiectaziilor. CT toracic poate detecta cu mare acuratete distributia modificarilor bronsiectatice. Anomaliile sugestive pentru bronsiectazie sunt reprezentate de dilatarea bronsica, astfel incat diametrul intern al bronhiei afectate este mai mare decat artera insotitoare. Extinderea bolii observata la examenul CT (HRCT) este corelata cu calitatea vietii si declinul functional respirator ulterior.
Bronhoscopia preoperatorie se efectueaza cu scopul de a identifica microbii respunzatori de infectie si pentru a exclude o alta patologie concomitenta la nivelul bronhiilor.
Tratamentul inainte de interventie trebuie sa includa: terapie antimicrobiana, fizioterapie posturala, bronhodilatatoare si corticosteroizi.
Text: Dr. Ileana Andreescu, Senior Medical Marketing Manager
Consultant: Dr. Felix Dobritoiu, medic specialist chirurgie toracica
Surse de informatie:
- Surgery for bronchiectasis D.C. Mauchley and J.D. Mitchell, Eur Respir Mon 2011
- Video-Assisted Thoracic Surgery for Bronchiectasis, Peng Zhang, MD and colab, The Annals of Thoracic Surgery, 2011
- Surgical Treatment of Bronchiectasis Hidir Esme and Sevval Eren Konya Education and Researc Hospital, Dicle University, School of Medicine, Turkey, Topics in Thoracic Surgery
- Lady Windermere revisited: treatment with thoracoscopic lobectomy/segmentectomy for right middle lobe and lingular bronchiectasis associated with non-tuberculous mycobacterial disease, Jessica A. Yu Marvin Pomerantz Amy Bishop Michael J. Weyant John D. Mitchell, European Journal of Cardio-Thoracic Surgery, Volume 40, Issue 3, 1 September 2011

