Contactează-ne!
Ai simptome care te supără? Solicită chiar acum un sfat medical specializat.
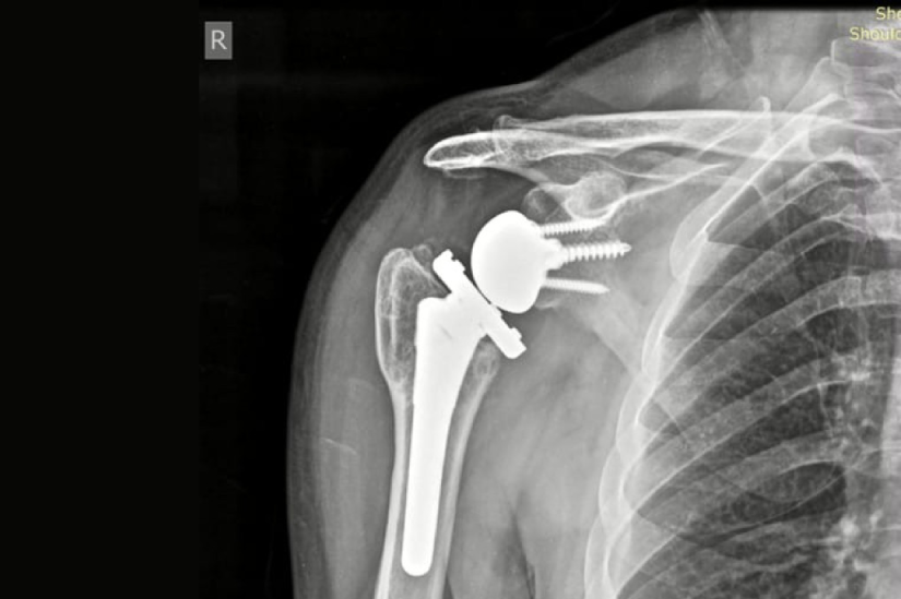
După consultul din Spitalului Regina Maria Timișoara și efectuarea tuturor investigațiilor necesare, s-a decis o intervenție chirurgicală revoluționară - artroplastia totală cu endoproteză inversată a umărului drept. Intervenția a fost realizată de conf. univ. dr. Cosmin Faur, medic primar ortoped. După 6 săptămâni de la intervenție, durerile dispăruseră, iar mobilitatea mâinii drepte era recuperată aproape complet.
O afecțiune care a progresat lent
P.P. și-a păstrat vitalitatea, ba chiar și-a îmbunătățit-o după ce s-a retras din activitate. Bucuria unei vieți active, în care putea face exact ceea ce-și dorea a fost, însă, constant sabotată de durerea din umărul drept. „Multe dintre cele pe care doream să le fac însemnau durere și îmi genera o stare de disconfort profund. Analgezicele au funcționat o perioadă, dar de la un moment dat încolo nu au mai avut efect. Treptat, posibilitatea de a-mi folosi mâna s-a diminuat în ritm accelerat. Era imposibil să ridic mâna, nu aveam forță și orice mișcare era însoțită de durere. De fapt era o durere continuă, care mă transformase într-un om fără o mână. Fără mâna dreaptă”, spune acesta.
Curajul a fost mereu una dintre trăsăturile puternice ale personalității sale, astfel că a decis că trebuie să găsească o soluție care să „repare” brațul stricat, indiferent cât ar fi aceasta de complicată. A ales Centrul de Excelență în Chirurgia Ortopedică a Spitalului Regina Maria Timișoara. „A fost una dintre cele mai bune decizii pe care le-am luat!” completează pacientul.
Radiografia a arătat modificări degenerative severe extinse la nivelul cartilajului articular și o afectare a structurii osoase. Diagnosticul a fost de artroză posttraumatică severă a umărului drept și necroză avansată de cap humeral. Aceste două patologii asociate au contribuit la distrugerea articulației, cu pierdere accelerată a mobilității și durere cronică invalidantă.
Singura soluție - intervenția chirurgicală de protezare
Pentru că afecțiunea era deja foarte avansată, terapiile conservatoare nu mai erau o opțiune, iar singura soluție era intervenția chirurgicală de endoprotezare. Deși radical, tratamentul chirurgical putea oferi cu adevărat vindecarea.
Dr. Cosmin Faur i-a propus o soluție inovativă, bazată pe o tehnică nouă, eficientă, dar prea puțin utilizată în România: artroplastia totală cu endoproteză inversată. Această intervenție este recomandată atunci când articulația umărului este grav afectată, iar oasele și mușchii din zonă nu mai funcționează normal, din cauza distrugerii osoase și a pierderii forței musculare. Proteza inversată oferă pacientului șansa de a mișca din nou brațul aproape normal și de a scăpa de durerea constantă.
„Artroplastia totală cu endoproteză inversată este o intervenție chirurgicală modernă, recomandată în cazurile în care articulația umărului este grav deteriorată, iar tratamentele clasice, respectiv medicamentele, infiltrațiile sau fizioterapia, nu mai dau rezultate. Se adresează în special pacienților cu artroză avansată, necroză de cap humeral, așa cum este și cazul pacientului despre care vorbim, și unde osul s-a distrus ca urmare a lipsei de vascularizare, sau în cazul unor rupturi mari ale coafei rotatorii, adică acei mușchi care mențin și ghidează mișcările umărului.
Articulația umărului este formată din capul humeral - o structură rotundă, ca o bilă, situată la capătul osului brațului - și glena, o suprafață concavă de pe omoplat, care funcționează ca o cupă. Spre deosebire de protezele clasice, proteză inversată schimbă poziția naturală a componentelor: bila artificială este fixată pe omoplat, iar componenta concavă pe osul brațului.
Această modificare permite pacienților să folosească mușchiul deltoid pentru a ridica brațul, chiar dacă mușchii principali ai umărului, nu mai funcționează corect. Rezultatul este o reducere importantă a durerii și o îmbunătățire semnificativă a mobilității. Este o procedură sigură, cu beneficii majore pentru pacienții care nu mai pot folosi umărul din cauza durerii și a blocajului articular”, explică dr. Cosmin Faur.

Operația
Intervenția de artroplastie totală cu endoproteză inversată este, din punct de vedere tehnic, mai complexă decât varianta clasică a protezei umărului, dar este soluția optimă, și uneori singura, pentru pacienții cu os fragilizat pe fondul osteoporozei sau al necrozei, dar oferă rezultate excelente acolo unde o proteză clasică nu ar funcționa.
Proteza inversată este concepută tocmai pentru cazurile în care mușchii care antrenează articulația sunt afectați, iar chirurgul reconstituie funcția articulară fără sprijinul mușchilor principali ai umărului, bazându-se pe deltoid.
În proteza inversată, chirurgul trebuie să inverseze poziția naturală a articulației, iar asta presupune planificare riguroasă și o adaptare a tehnicii chirurgicale la patologia pacientului și la particularitățile anatomice ale acestuia. Planificarea trebuie să țină cont de gradul de afectare osoasă și să anticipeze toate complicațiile care ar putea să apară. Rezervată chirurgilor ortopezi cu experiență în chirurgia umărului, expertiza medicului, o înțelegere avansată a biomecanicii și o tehnică impecabilă joacă un rol cheie în rezultate.
Elemente importante, de care depinde succesul intervenției, sunt investigații imagistice detaliate (CT, RMN) pentru evaluarea precisă a articulației, astfel încât componentele protezei să fie aliniate corect. Acesta este motivul pentru care medicul folosește ghidaje personalizate 3D sau software-uri de planificare preoperatorie.
„Ortopedia este un domeniu foarte dinamic. Apar mereu metode noi de tratament tot mai eficiente care pot îmbunătăți semnificativ viața pacientului. Așa este și artroplastia totală cu endoproteză inversată. Sunt, din păcate intervenții care se fac mult prea rar, iar oamenii nu știu cât de utile le pot fi și cât de mult le pot îmbunătății viața. Această tehnică există de la finele anilor 1990, iar după 2000 a fost perfecționată și, în prezent, este din ce în ce mai mult utilizată. Din nefericire este mult prea rar realizată în România”, completează dr. Cosmin Faur.
Operația prin care a trecut P.P. a fost un succes. Nu au existat niciun fel de complicații, iar durerea postoperatorie a fost minimă. „Am depășit foarte ușor intervenția. Aveam experiență și un grad foarte ridicat de toleranță la durere, așa că a fost foarte simplu pentru mine, inclusiv în perioada în care am stat cu brațul imobilizat. Comunicarea cu domnul doctor a fost impecabilă. Mi-a explicat în detaliu ce anume va face, ce presupune recuperarea și cât va dura aceasta. Dacă trag linie a fost cu mult mai ușor decât în cele mai optimiste variante ale mele”, încheie P.P.

Recuperarea - o etapă esențială
Recuperarea după artroplastia totală cu endoproteză inversată a umărului este esențială pentru succesul intervenției și pentru recâștigarea mobilității și funcției brațului. Este un proces gradual, care implică mai multe etape și care necesită răbdare, cooperare și implicarea activă a pacientului.
După perioada de recuperare postoperatorie, când brațul este imobilizat, la circa 3-4 săptămâni după intervenție, urmează mobilizarea pasivă a umărului, adică brațul este mișcat ușor din exterior, fără implicarea activă a mușchilor. Este necesar suportul unui kinetoterapeut, alături de care pacientul crește gradul amplitudinea mișcărilor, fără a forța articulația.
Se introduc treptat exerciții pentru întărirea mușchiului deltoid, care preia rolul principal în ridicarea brațului după această intervenție. Kinetoterapia și fizioterapia sunt importante pentru creșterea forței, coordonării și stabilității articulației. Recuperarea completă durează, în medie, 6 luni.
Parcurgerea treptată a etapelor permite recuperarea completă a mobilității pierdute. „La primul control pacientul avea o mobilitate redusă la jumătate, amplitudinea mișcării brațului era sub 50 de grade. Adică avea dificultăți reale să se pieptene sau să se îmbrace, din cauza rigidității articulare și a durerii. Practic, erau mișcări imposibile. La 6 săptămâni după operație putea ridica brațul la 170 de grade. O dovadă a eficienței acestui tip de protezare inversă”, încheie dr. Cosmin Faur.
Cu brațul revenit la funcționalitatea normală, la 7 luni de la operație P.P. a decis că este momentul pentru o vacanță, motiv pentru care a plecat într-o binemeritată croazieră pe Atlantic, ca să recupereze perioada de dureri și imobilitate prin care a trecut înainte de proteza care i-a redat bucuria de a trăi.
Consultant: șef lucrări Conf. Univ. Dr. Cosmin Faur, medic primar ortoped la Spitalul Regina Maria Timișoara
