Contactează-ne!
Ai simptome care te supără? Solicită chiar acum un sfat medical specializat.
București, 24 aprilie 2013: În cadrul Spitalului Euroclinic a fost realizată o intervenție de microneurochirurgie la un pacient diagnosticat cu craniofaringiom recidivant gigant de 8 centimetri. Pacientul, un tânăr în vârstă de 36 de ani, și-ar fi putut pierde complet vederea dacă nu ar fi fost operat din nou. Intervenția a durat 7 ore și a fost efectuată pro bono de către o echipă condusă de Dr. Sergiu Stoica, având la dispoziție aparatură de ultimă generație.
Povestea lui Cornel a început cu totul întâmplător în 2008, când pentru un traumatism cranian i s-a recomandat efectuarea unui CT cerebral. Datorită acestei întâmplari s-a descoperit că avea un craniofaringiom, o tumoră localizată la baza craniului.
A fost operat într-un spital de stat în acel an şi apoi din nou în 2009, deoarece tumora recidivase. Din nefericire, nu s-a reuşit nici de data asta îndepărtarea completă a craniofaringiomul, astfel încât în 2011 este diagnosticat cu o nouă recurenţă. Deoarece tumora avea dimensiuni mari şi comprima sistemul ventricular s-a montat cu succes un drenaj ventriculo-peritoneal pentru evacuarea lichidului cefalorahidian în exces.
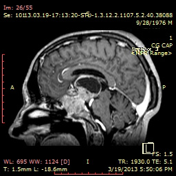
De aproximativ doi ani, vederea lui Cornel este din ce în ce mai afectată. Controlul imagistic RMN efectuat în 2013 a decelat o tumoră de dimensiuni mari, de aproximativ 8 cm, care este aderentă la structurile nervoase din vecinătate, cu distrugerea aproape completă a glandei hipofize şi afectarea importantă a nervilor optici.
Datorită importantelor tulburări endocrine, pacientul se află sub tratamentul şi supravegherea atentă a Dl. Conf. Univ. Dr. Corin Badiu, în cadrul Institutul de Endocrinologie “CI Parhon”, București.
Craniofaringiomul: tumoră la baza craniului
Craniofaringiomul este o tumoră care se dezvoltă la baza craniului în regiunea şeii turceşti, în aproprierea glandei hipofizare şi se presupune că ar proveni din resturile embrionare cu rol în formarea hipofizei.
Este o tumoră benignă, care însă se poate comporta agresiv prin creşterea continuă, comprimând structurile din vecinătate, cum ar fi nervii optici, glanda hipofiză şi hipotalamusul. De asemenea, tumora poate bloca circulaţia normală a lichidului cefalorahidian cu apariţia hidrocefaliei.
Tumora se dezvoltă încet, de-a lungul anilor, ceea ce face dificil diagnosticul iniţial. Prin urmare, pacientul ajunge la medic atunci când tumora are dimensiuni mari (de peste 3 cm) şi a produs déjà leziuni, determinând cefalee, tulburări de vedere, anumite manifestări comportamentale şi tulburări endocrine.
În Spitalul Euroclinic diagnosticul şi tratamentul craniofaringiomului se face de către o echipă interdisciplinară formată din endocrinolog, oftalmolog, imagist, anestezist şi neurochirurg care lucrează împreună pentru a obţine cea mai bună îngrijire pentru pacient.
Şi-ar fi putut pierde complet vederea
Dezvoltându-se în imediata vecinatate a nervilor optici şi a chiasmei optice, locul unde se încrucişează fibrele interne ale nervilor optici, tumora de dimensiune mare a împins aceste structuri nervoase, deformându-le şi comprimându-le, cu afectarea importantă a văzului.
În evaluarea deciziei pentru reintervenţia chirurgicală, un element foarte important a fost faptul că pacientul mai avea încă vedere funcţională la unul dintre ochi. Dacă nu s-ar fi intervenit chirurgical acum, evoluţia ar fi spre pierderea completă a vederii în scurt timp.
Intervenţia chirurgicală este singura alternativă de tratament pentru pacient în prezent
Craniofaringiomul este cel mai bine tratat în centre cu experienţă în managementul acestei tumori, ceea ce garantează rezultate mai bune, inclusiv în cazurile individuale complexe.
Tratamentul pentru craniofaringiom este în principal unul chirurgical. Craniofaringiomul nu răspunde la citostatice, iar radioterapia este doar parţial eficientă. Radiochirugia stereotactică Gamma-knife, o modalitate sigură şi neinvazivă de aplicare de radiaţii gamma direct pe tumoră cu scopul de a opri dezvoltarea acesteia, este eficientă, însă nu în cazul unor tumori de dimensiuni mari, cum este situaţia pacientului nostru. De asemenea, în acest caz ar fi existat în plus riscul de iradiere a nervilor optici déjà afectaţi şi în consecinţă de pierdere definitivă a vederii.
Stategia operatorie a fost aleasă cu multă grijă
Scopul intervenţiei chirurgicale este îndepărtarea cât mai completă a tumorii pe de o parte, iar pe de altă parte ameliorarea sau cel puţin prezervarea funcţiei glandei hipofize şi a vederii.
În funcţie de localizarea tumorii se pot folosi diferite abordări care să permită expunerea şi îndepărtarea optimă a tumorii. Majoritatea craniofaringioamelor pot fi excizate fie pe cale transfenoidală prin fosele nazale, fie printr-o craniotomie.
În cazul pacientului nostru, chirurgia transsfenoidală endoscopică prin fosele nazale nu ar fi fost cea mai bună soluţie deoarece tumora care avea o porţiune în şaua turcească se extindea foarte mult în sus şi lateral. De asemenea, exista posibilitatea să fie aderentă la structurile nervoase delicate din jur (nervii optici, hipotalamus şi vasele de la baza craniului), care vor trebui să fie disecate cu multă atenţie. Abordul transsfenoidal nu ar fi oferit condiţii optime pentru a face acest lucru, deoarece se lucrează printr-un coridor lung şi îngust, iar unghiul de vedere în lateral este limitat. În plus, deoarece pacientul fusese operat în două alte rânduri pe aceasta cale, anatomia locală era modificată cu ţesuturi fibrotice, cicatriciale, ceea ce ar fi îngreunat suplimentar accesul.
De asemenea, pentru a proteja cât mai mult nervul optic stâng care era mai puţin compromis, s-a decis ca intervenţia să se facă prin partea dreaptă care ar garanta o lezare cât mai mică a a acestor structuri nervoase.
Operaţie neurochirurgicală minim-invazivă
Dr. Sergiu Stoica este un specialist recunoscut pentru experienţa deosebită în tehnicile neurochirurgicale minim invazive şi are ca filozofie folosirea acestor metode moderne chirurgicale ori de câte ori este indicat, pentru a reduce la minim trauma pentru pacient.
Acest lucru începe încă de la piele: părul pacientului nu a fost ras decât pe o fâşie lată de maxim 1 cm, iar incizia a fost minimă şi a fost efectuată în spatele liniei de inserţie a părului, astfel încât nu va rămâne nici o cicatrice vizibilă.
S-a practicat un volet osos mic, de aproximativ 4/3 cm, bine plasat astfel încât să ofere neurochirurgului acces optim spre baza creierului. În plus, voletul fiind situat sub muşchiul temporal, la sfârşitul operaţiei nu se va vedea nici o deformare locală.
S-a utilizat un microscop de mare putere care a asigurat o vizualizare adecvată a structurilor nervoase şi s-a folosit instrumentar delicat de microchirurgie care a permis microdisecţia atraumatică a tumorii de structurile vitale.
Imagini ale tumorii au fost proiectate pe un monitor TV în sala de operatie cu ajutorul unui sistem computerizat de navigaţie 3D, functionând ca un GPS care în care in loc de hărţi avea imaginile RMN-ul pacientului. Această tehnologie modernă a permis neurochirurgului să verifice cu exactitate unde se află diverse structuri nervoase vitale în raport cu tumora. Nervii optici foarte deformati, cu o funcţionare la limită, au fost manipulaţi foarte delicat, pentru a preveni pierderea definitivă a vederii.
Avantajele metodei folosite la Spitalul Euroclinic pentru pacient:
- Strategie pre-operatorie bine aleasă
- Tehnică chirurgicală minim invazivă
- Tehnologie state-of-the art:
- Abord pe căi naturale, astfel incât structurile din jur să nu fie lezate
- Microscop operator
- Disector cu ultrasunete
- Neuronavigaţia
- Durată internare: scurtă, de 3 zile
Echipa multidisciplinară care l-a îngrijit pe Cornel în Spitalul Euroclinic:
- Conf. Univ. Dr. Corin Badiu, medic primar endocrinolog
- Dr. Sergiu Stoica, medic primar neurochirurg
- Dr. Mihai Craciun, medic specialist neurochirurg
- Dr. Anca Vişan, medic specialist ATI
Text: Dr. Ileana Andreescu, Senior Medical Marketing Manager
Consultant: Dr. Mihai Crăciun, medic specialist neurochirurg


