Contactează-ne!
Ai simptome care te supără? Solicită chiar acum un sfat medical specializat.
Imagistica tensorului de difuzie (DTI - Diffusion Tensor Imaging) si tractografia (DTT - Tractography) sunt metode moderne de neuroimagistica prin rezonanta magnetica care evalueaza in vivo orientarea si integritatea tracturilor de substanta alba de la nivelul creierului. Identifica modificari subtile in conducerea, degenerarea si demielinizarea nervoasa, fiind folosite cu succes in diagnosticul precoce, optimizarea planului de tratament si monitorizarea mai multor afectiuni neurologice:
- Tumori cerebrale
- Malformatii vasculare
- Scleroza multipla
- Epilepsie
- Boli neurodegenerative
- Tulburari cognitive
- Accident vascular cerebral
Tractografia RM – investigatie valoroasa pentru neurochirurgi
In mod special, tractografia bazata pe difuzie este o investigatie imagistica folosita din ce in ce mai mult in planificarea preoperatorie a interventiilor neurochirurgicale pentru tumori cerebrale si malformatii vasculare. Generand harti 3D ale cailor nervoase din substanta alba cerebrala, tractografia are potentialul de a rezolva cateva probleme esentiale ale interventiilor de neurochirurgie, fiind un instrument imagistic valoros in reducerea riscului interventiei chirurgicale si personalizarea operatiei pentru fiecare pacient in parte:
- Reduce deficitul neurologic in urma rezectiei neurochirurgicale, deoarece ii permite neurochirurgului sa minimalizeze lezarea tesutului cerebral normal din vecinatatea tumorii operate
- Ajuta la identificarea unor margini sigure de rezectie si ii permite chirurgului sa extirpe cat mai mult din tumora, cu scaderea semnificativa a volumului rezidual
Imagistica tensorului de difuzie si tractografia RMN – metode moderne de neuroimagistica
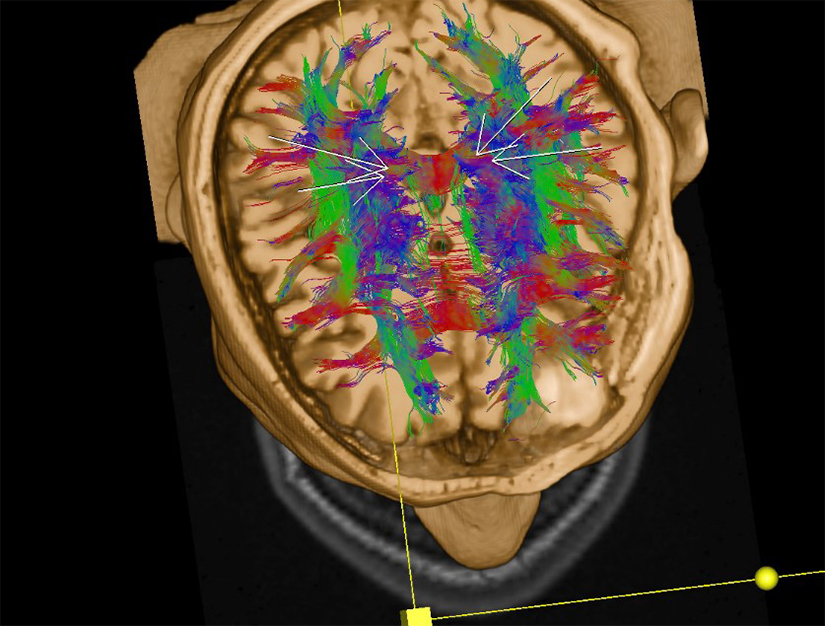
Mecanismul care sta la baza DTI si a tractografiei este urmatorul: la nivelul substantei albe cerebrale, miscarea haotica, browniana a moleculelor de apa din tesut – difuzia - este limitata de prezenta structurilor celulare. In axon, apa este inconjurata de membrana celulara si placa de mielina care inconjoara axonul. In consecinta, difuzia perpendiculara pe fasciculul axonului este impiedicata de aceste structuri, insa miscarea apei nu este deloc restrictionata cand aceasta se produce de-a lungul fasciculului axonului. Aceasta dependenta directionala a difuziei se numeste anizotropie.
In functie de distributia difuziei, se obtine o imagine anatomica detaliata tridimensionala a structurii analizate evidentiind portiunile de difuzie anormala.
Imagistica tensorului de difuzie (DTI) foloseste difuzia anizotropica pentru a estima organizarea materiei albe la nivelul creierului.
Tractografia foloseste datele DTI si reconstruieste 3D tracturile de substanta alba nervoasa. Investigatiile sunt efectuate in Centrul de Imagistica Baneasa de catre Dr. Adina Chirita, Medic Primar Medicina Nucleara, Medic Specialist Radiodiagnostic si Imagistica Medicala si Doctor in Stiinte Medicale. Dr. Chirita a efectuat un stagiu de 2 ani de pregatire post-universitara in neuroradiologie la Centre Hospitaliere Universitaire Bordeaux, Franta si a obtinut diploma internationala in Neuroradiologie. Pentru Dr. Adina Chirita, neuroimagistica reprezinta o arie de interes medical, avand o experienta ampla intr-o serie de protocoale de examinare care folosesc secvente speciale:
- RMN functional - tractografie - DTI, spectroscopie (SVC, Chemical Shift), perfuzie cerebrala, activitate corticala in repaus - resting BOLD fMRI
- Protocol epilepsie - protocol RMN si post-procesare specifica pentru identificarea focarului epileptogen
- Brain ageing - Imagistica tulburarilor cognitive (boala Parkinson, boala Alzheimer, alte demente)

