Contactează-ne!
Ai simptome care te supără? Solicită chiar acum un sfat medical specializat.
O echipa multidisciplinara de medici de chirurgie toracica si chirurgie pediatrica a efectuat in Ponderas Academic Hospital la o fetita in varsta de 11 ani o operatie de indepartare a unui intreg lob pumonar (lobectomie pulmonara) prin abord toracoscopic printr-o singura incizie (VATS uniportal) pentru o malformatie congenitala pulmonara giganta.
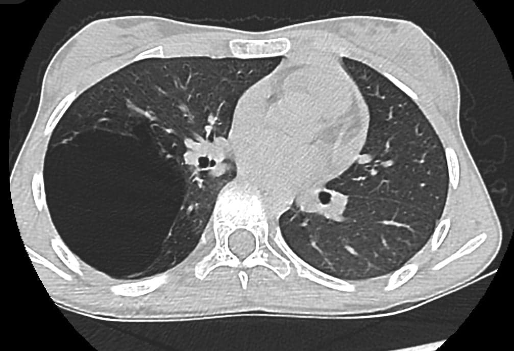
Fetita, balerina de performanta, a fost descoperita la un control de rutina solicitat pentru a continua baletul cu o modificare la examenul clinic toracic. In copilarie, a avut numeroase infectii respiratorii joase. Tomografia computerizata a aratat ca intregul lob pulmonar inferior drept era transformat in totalitate de un chist gigant, cu diametrul cel mai mare de 9.8 cm. S-a efectuat operatia de indepartare a intregului lob pulmonar – lobectomie pulmonara - printr-o singura incizie de doar 3 cm la nivelul toracelui, fara a se departa coastele, ceea ce a insemnat o agresiune mult mai mica la nivelul toracelui, comparativ cu interventia deschisa, clasica. Fetita s-a mobilizat chiar din ziua interventiei si in a 4-a zi postoperator a plecat acasa. Examenul histopatologic a evidentiat ca leziunea era un tip foarte rar de malformatie congenitala pulmonara - malformatia congenitala adenomatoida chistica (CCAM).
“In momentul in care am aflat diagnosticul am plecat cu copilul in Franta, insa fiecare pas dura foarte mult - consultatie, imagistica, programare la interventie. Am fost si la un chirurg toracic intr-un spital de stat in Romania care a spus ca ne poate opera, dar pe cale clasica, deschisa, si ca trebuie sa asteptam sa gaseasca un chirurg pediatru cu care sa faca echipa. Si desi diagnosticul a fost pus in luna aprilie, fetita a fost operata de-abia in septembrie, din cauza ca am pierdut timp valoros cautand spitale si medici care s-o trateze. Acum Andreea este foarte bine. S-a simtit atat de normal, ca si cand nici nu suferise o operatie, incat in a 7a zi era deja la scoala, in ciuda recomandarii Dl. Dr. Felix Dobritoiu. Si asta deoarece dansul a reusit s-o opereze printr-o interventie efectuata printr-o singura incizie mica, de doar cativa centimetri. Dansul si de altfel, intreaga echipa de medici si asistente, au fost mereu alaturi de noi, ne-au explicat in permanenta ce urma sa se intample cu Andreea, au acordat atentie fiecarui detaliu in ingrijirea ei” – ne-a spus mama, acum linistita, venita cu Andreea la control.
In Ponderas Academic Hospital exista echipa de medici de care copilul tau are nevoie
Chirurgia toracoscopica efectuata la copii este o interventie realizabila, eficienta si sigura atunci cand este efectuata de catre o echipa de medici experimentati de chirurgie toracica si chirurgie pediatrica, care are o buna cooperare cu medicului anestezist.
Echipa multidisciplinara care a operat-o pe Andreea a fost formata din:
- Chirurgie toracica - Dr. Felix Dobritoiu, medic specialist chirurgie toracica, cu arii de interes in tehnicile minimal invazive toracice (toracoscopie VATS, VATS uniportal, etc.), Coordonator al Departamentului de Chirurgie Toracica, Ponderas Academic Hospital
- Chirurgie pediatrica – Dr. Daniela Dobritoiu, medic specialist chirurgie pediatrica, cu arii de interes chirurgia malformatiilor congenitale si chirurgia minim-invaziva la copii
- Imagistica avansata, Centru de Imagistica Ponderas Academic Hospital - Dr. Dana Nedelcu, medic primar radiologie si imagistica medicala, Doctor in Stiinte Medicale
Anestezie – Dr. Daniela Godoroja, medic primar ATI, Sef Sectie Anestezie si Terapie Intensiva, Ponderas Academic Hospital
Lobectomia toracoscopica uniportala – ultimul pas in evolutia chirurgiei toracice minim-invazive
In ultimele doua decenii, chirurgia toracica video-asistata (VATS) a revolutionat modul in care chirurgii toracici diagnosticheaza si trateaza bolile pulmonare. Progresul semnificativ in procedurile VATS este legat de rezectiile pulmonare majore.
Plamanul drept are 3 lobi, iar cel stang 2 lobi. Lobectomia pulmonara este procedura chirurgicala care consta in rezectia (indepartarea) unui lob pulmonar. Prin aceasta operatie se elimina doar portiunea de plaman afectata, ramanand restul plamanului sanatos, care va functiona normal. Atunci cand interventia se face prin toracoscopie video-asistata (VATS), medicul chirurg va efectua o operatie majora, insa cu o agresiune mica asupra toracelui.
Daca in operatia clasica, abordul se face printre coaste, folosindu-se un indepartator de coaste pentru a se crea un spatiu de lucru, in forma minim-invaziva, abordul se face prin 2-3 incizii mici, fara departarea coastelor. Prin una dintre aceste incizii este introdus un toracoscop, un instrument subtire care are atasata o sursa de lumina si o camera video care proiecteaza imaginile din interiorul toracelui pe un ecran, permitandu-i medicului chirurg sa vizualizeze cavitatea toracica si desfasurarea interventiei chirurgicale. Prin celalalte incizii, se introduc alte instrumente chirurgicale cu ajutorul carora se efectueaza procedura chirurgicala.
Multi specialisti efectueaza lobectomia pulmonara VATS prin 2 - maxim 4 incizii, insa interventia poate fi realizata si printr-o singura incizie, cu rezultate similare. Ultimul pas in evolutia tehnicii este utilizarea unei abordari printr-un singur port – VATS uniportal. Accesul uniportal a fost folosit initial pentru procedurile minore toracice si pulmonare. Dezvoltarea dispozitivelor de capsare si a unor instrumente chirurgicale proiectate special pentru aceasta tehnica a permis ulterior efectuarea unor rezectii pulmonare majore printr-o singura incizie.
In Ponderas Academic Hospital, Dr. Felix Dobritoiu, medic primar chirurgie toracica, cu competenta in toracoscopie, foloseste ori de cate ori este indicat abordul chirurgical cel mai putin invaziv. Cu atat mai mult cu cat pacientul este un copil, cu torace mic, la care este importanta recuperarea cat mai rapida dupa interventie.
Chirurgia toracica minim-invaziva la pacientii pediatrici
Cea mai frecventa indicatie pentru rezectia unui lob pulmonar (lobectomie pulmonara) la copii este o malformatie congenitala pulmonara. In studiile efectuate pe un numar mare de pacienti, lobectomia pulmonara VATS s-a dovedit a fi o procedura sigura pentru copii. Necesita tehnici chirurgicale avansate si un tip special de anestezie.
Asemanator cu toracoscopia VATS la adult, procedura implica o curba de invatare si cele mai bune rezultate se obtin atunci cand interventia este efectuata de catre medici experimentati. Daca procedurile minim-invazive toracice sunt realizate des in departamentele de chirurgie toracica de adulti, medicul putand astfel dobandi o experienta corespunzatoare rapid, in departamentele de chirurgie pediatrica, adesea, frecventa de operare nu este suficient de mare.
De aceea este nevoie ca acesti copii sa fie tratati de catre o echipa multidisciplinara. Un chirurg toracic experimentat va colabora impreuna cu medicul chirurg pediatru, intr-un spital unde exista atat departament de Chirurgie Pediatrica, cat si facilitati de terapie intensiva.
Operam copiii ca oriunde in lume
In lume, primul caz de lobectomie pulmonara toracoscopica (VATS) la copii a fost efectuat in 1993, iar prima serie ampla a fost mentionata in anul 2000. De atunci, interventiile minim-invazive pentru malformatiile pulmonare congenitale la copii au devenit din ce in ce mai polulare in clinicile specializate de chirurgie pediatrica in intreaga lume.
VATS uniportal - operatia efectuata printr-o singura incizie la nivelul toracelui pentru malformatiile pulmonare congenitale are potentialul de a permite un foarte bun acces la nivelul leziunii, insa cu reducerea numarului de incizii. VATS uniportal a fost efectuata la adulti in 2010, iar la copii in 2013.
Pentru copil, beneficiile sunt foarte mari
Deoarece nu implica departarea coastelor si lezarea muschilor si a nervilor intercostali, asa cum se poate intampla in chirurgia deschisa, lobectomia pulmonara prin toracoscopie determina mai putina durere postoperatorie si in consecinta permite o recuperare mai rapida. De asemenea, riscul de infectie si sangerare este mai redus. Astfel, avand un risc mai mic de complicatii, pacienti copii necesita mai putine zile de spitalizare (in medie, 4 zile, comparativ cu 7 zile in cazul lobectomiei clasice).
Afla mai multe despre malformatia congenitala adenomatoida chistica - CCAM (congenital cystic adenomatoid malformation)
CCAM este o malformatie congenitala rara a tractului respirator, de cauza necunoscuta. Reprezinta aproximativ 25% din malformatiile pulmonare si cele mai multe cazuri sunt descoperite la fat, ca urmare a ecografiilor prenatale sau la sugar, fiind destul de rara la adult.
Cum se dezvolta
Malformatia congenitala adenomatoida chistica este o leziune benigna (noncanceroasa) formata din tesut pulmonar anormal, care este localizata de obicei la nivelul unui singur lob pulmonar. Se dezvolta cu o frecventa egala in plamanul drept sau stang ca urmare a cresterii exagerate a celulelor pulmonare imature, frecvent sub forma unor chiste pline cu lichid. Aceste chiste vor impiedica plamanul sa functioneze normal.
Exista diverse clasificari, cea care se bazeaza pe marimea chistelor imparte CCAM in 3 tipuri:
- CCAM tip I - unul sau mai multe chiste mari, > 2 cm. Este forma cea mai frecventa si are un prognostic bun
- CCAM tip II - multe chiste mici, de obicei < 1 cm. Reprezinta 40% din cazuri si este frecvent asociata si cu alte malformatii (de ex, agenezia renala) care ii afecteaza prognosticul
- CCAM tip III - multiple microchiste < 0.5 cm. Reprezinta 5% din cazuri
Care este cauza
Cauza aparitiei CCAM nu este cunoscuta, dar se considera ca nu este ereditara, ca urmare nu va reapare in aceeasi familie.
Cat de frecventa este
Afectiunea este relativ rara, afectand 1:25 000 – 1:35 000 de feti si este mai des diagnosticata la baieti. CCAM este cea mai frecventa malformatie pulmonara congenitala.
Cum se diagnosticheaza
Folosirea ecografiei prenatale a dus la cresterea diagnosticarii CCAM in timpul sarcinii.
Dupa nastere, cele mai multe cazuri sunt diagnosticate la sugar. CCAM poate fi prezent si la copilul mai mare sau adult cand este descoperit intamplator cu ocazia efectuarii unui examen imagistic pentru o alta indicatie sau ca urmare a unor infectii respiratorii joase repetate (pneumonii recurente).
Tomografia computerizata toracica este o metoda rapida si sigura de evaluare a extinderii CCAM la toate categoriile de varsta. In ultimii ani, folosirea unor tehnologii imagistice avansate de tipul tomografiei computerizate de rezolutie inalta (HRCT) si a softurilor de post-procesare a permis un diagnostic din ce in ce mai acurat.
Cum se manifesta
Inainte de nastere
La fat, marimea si localizarea leziunii sunt doi factori de care depinde dezvoltarea plamanului invecinat, care este comprimat de malformatie. CCAM este o leziune ocupatoare de spatiu, astfel incat, cu cat volumul acesteia este mai mare, cu atat riscul asupra fatului va fi mai mare.
Cei mai multi feti diagnosticati antenatal cu CCAM au o dezvolatre normala a plamanilor. In cazul lor, tumora incepe sa-si incetineasca cresterea in timpul celui de-al doilea trimestru de sarcina. Deoarece fatul si restul de plaman continua sa creasca rapid, malformatia pare ca se micsoreaza. CCAM va deveni relativ mic in comparatie cu toracele fatului, ramanand suficient loc ca restul de plaman sa poata sa creasca nealterat. Uneori, tumora isi reduce considerabil dimensiunea sau chiar dispare inainte de nastere. In toate aceste cazuri, perspectiva la o viata normala este foarte buna.
Totusi, in 10% din cazuri, malformatia poate creste suficient de mult astfel incat sa puna in pericol viata fatului inainte ca acesta sa se nasca. Acest lucru se intampla intre saptamanile 18-26 de sarcina. Dimensiunea mare a tumorii comprima vasele si inima si determina insuficienta cardiaca sau hidrops fetal – o conditie in care se acumuleaza lichid la nivelul toracelui (pleurezie), inimii (pericardita), abdomenului (ascita), scalpului si pielii.
Dupa nastere
Daca CCAM a comprimat plamanul invecinat, impiedicand dezvoltarea normala a acestuia in uter, acesta va ramane mic (hipoplazie pulmonara), cauzand insuficienta respiratorie la nastere.
Cel mai frecvent, copiii mai mari pot prezenta infectii respiratorii joase recurente, din cauza ca malformatia apasa asupra bronhiilor producand compresie, cu impiedicarea aerului de a fi expulzat si afectarea eliminarii secretiilor. Ocazional, poate sa apara hemoptizia (tuse cu expectoratie cu sange) sau dificultatea in respiratie si durerea toracica, care sunt simptome ale pneumotoraxului (conditie in care aerul patrunde in cavitatea pleurala, din jurul plamanului).
Cum se trateaza
Fat
Decizia privind tratamentul unui fat diagnosticat cu CCAM este influentata de o serie de factori: marimea si numarul leziunilor, daca acestea sunt solide sau umplute cu lichid sau daca s-a dezvoltat hidrops fetal.
In cadrul Centrului de Chirurgie Fetala din Spitalul Baneasa, medicii specialisti in sarcina cu risc inalt si in chirurgie fetala ofera o ingrijire completa, de la diagnostic si supraveghere atenta in sarcina atat a fatului, cat si a mamei, pana la tratament chirurgical intrauterin sau la scurt timp dupa nastere si ingrijire specializata in sectia de terapie intensiva neonatala, in cazuri severe.
Chirurgia fetala minim-invaziva – toracenteza si suntul toraco-amniotic
In cazul unui chist mare, plin cu lichid, echipa medicala poate recomanda drenarea acestuia prin toracenteza, care implica insertia prin uterul mamei a unui tub de drenaj la nivelul toracelui fatului, prin care se evacueaza lichidul din chist. Deoarece lichidul se va reface rapid, chirurgul fetal va monta un sunt toraco-amniotic - un cateter (un tub special) prin care lichidul din interior sa fie drenat continuu in cavitatea amniotica.
Chirurgia fetala deschisa cu rezectia CCAM – singura optiune pentru o sansa la viata cand CCAM se complica cu hidrops fetal
In cazul unor leziuni mari si solide, in care fatul este grav afectat si in care s-a evidentiat hidrospul fetal, singura optiune pentru o sansa la viata este chirurgia fetala deschisa. Afla mai multe aici.
Dupa nastere
Se recomanda rezectia CCAM la toti copiii pentru a elimina riscul de complicatii directe, cum sunt infectiile recurente si pneumotoraxul. In plus, se considera ca ulterior in viata, CCAM are un potential de malignizare. Copiii cu CCAM asimptomatic care au fost diagnosticati antenatal pot fi urmariti fara interventie chirurgicala, deoarece unele leziuni pot scadea in dimensiune sau se pot rezolva fara interventie. Interventia chirurgicala se recomanda sa se efectueze inainte ca sugarul sa implineasac varsta de 12 luni pentru a spori sanda de crestere pulmonara compensatorie.
Copii
La o treime din cazuri, prezenta pneumoniei recurente indica necesitatea unei rezectii pulmonare.
Surse de informatie:
- J Vis Surg. 2018, Minimal-invasive thoracic surgery in pediatric patients, Christian Kugler
- "Uniportal Thoracoscopic Lobectomy for Congenital Lung Malformations in Children", Chia-Man Chou, Sheng-Yang Huang, Chou-Ming Yeh, Hou-Chuan Chen, 2018, www.gavinpublishers.com
- Video-assisted thoracoscopic lobectomy for congenital cystic adenomatoid malformations, Amina Selimović and al, Med Glas (Zenica) 2017
- Int J Clin Exp Med. 2015, Children with congenital cystic adenomatoid malformation of the lung CT diagnosis, Zeng-Jun Zhang and Ming-Xia Huang
- Cystic Adenomatoid Malformation Treatment & Management, Updated: Dec 08, 2015, Anne E Stone, MD, www.medscape.org
- www.chop.edu
- www.childrenshospital.org
Consultant: Dr. Felix Dobritoiu, medic specialist chirurgie toracica, Ponderas Academic Hospital


