Contactează-ne!
Ai simptome care te supără? Solicită chiar acum un sfat medical specializat.
Ce este hidrocefalia?
Hidrocefalia este o afecțiune rezultată în urma unui dezechilibru apărut în fluxul de circulație a lichidului cefalorahidian (LCR), acel lichid care înconjoară creierul și măduva spinării cu rol complex de protejare a acestora. LCR circulă în spațiul subarahnoidian – adică între arahnoidă și pia mater, două din cele trei straturi din structura meningelui, cele profunde, care împreună cu dura formează leptomeningele.
Cum apără acest strat lichid creierul, mai exact? Dincolo de efectul de tampon, de amortizor al șocurilor la care ar putea fi supus creierul în diferite contexte de viață, lichidul cefalorahidian îndeplinește – prin compoziția sa: două-trei limfocite, între 20-40 mg/dl proteine, între 40-80 mg/dl glucoză și 99% apă – o funcție imunologică similară sistemului limfatic și are scopul de a îndepărta reziduurile metabolice sau toxinele.
„Lichidul cefalorahidian este un lichid clar, incolor, care este produs continuu, reciclându-se de trei-patru ori de-a lungul zilei, la nivelul ventriculilor cerebrali (cavităţi profunde din interiorul creierului) și spațiul subarahnoidian cerebral și medular. La adult, rata de producere a lichidului cefalorahidian este de aproximativ 0.3 ml/minut, adică 450 ml/24 h. Este produs de plexurile coroide de la nivelul ventriculior laterali, de aici trece în ventriculul III prin cele două foramene Monro, apoi prin apeductul lui Sylvius în ventriculul IV (și aici există plex coroid care produce LCR) și prin foramenele Magendi ș Luschka în spatiul subarhnoidian. Ulterior, LCR se resoarbe la nivelul granulațiilor arahnoidiene care sunt în contact cu sinusurile venoase durale.
Granulațiile arahnoidiene sau Pacchioni sunt niste prelungiri ale arahnoidei în sinusurile durale care permit trecerea LCR -ului în sistemul venos, în acelaşi ritm în care lichidul este produs, dacă totul se desfășoară normal”, explică dr. Alina Costache, medic specialist neurochirurgie în cadrul Ponderas Academic Hospital.
Cu alte cuvinte, organismul este prevăzut cu un sistem foarte precis, asemănător unui perpetuum mobile, prin care acest lichid este produs și resorbit, astfel încât creierul să fie protejat și curățat de reziduuri. Dacă echilibrul dintre producția și resorbția LCR se strică, apare hidrocefalia.
„Această problemă de sănătate poate fi rezultatul disfuncţionalităţii granulaţiilor Pacchioni (hidrocefalie comunicantă sau „cu presiune normală”) sau al obstrucției căilor de comunicaţie (hidrocefalie noncomunicantă sau „obstructivă”). De asemenea, foarte rar, hidrocefalia poate apărea din cauza producției în exces a lichidului cefalorahidian (de exemplu, în cazul prezenței unor tumori, așa-numitele papiloame de plex coroid)”, spune dr. Alina Costache.
Contexte de perturbare a circulației LCR
Fiecare dintre cele două mari categorii de hidrocefalie, cea comunicantă sau „cu presiune normală” și cea noncomunicantă sau „obstructivă”, poate apărea în mai multe situații.
Hidrocefalia comunicantă sau „cu presiune normală” poate apărea în una dintre următoarele situații:
- o infecție care produce inflamația meningelui, adică meningita, (inclusiv cisticercoza - infecția cu tenie);
- o hemoragie (subarahnoidiană sau intraventriculară);
- prezența unei tumori (metastază la nivelul meningelui – meningită carcinomatoasă), în cazul unei malformații arterio-venoasă;
- ca efect secundar al unei intervenții chirurgicale;
- în urma unei traume fizice.
„În această categorie, a hidrocefaliei cu presiune normală a adultului, mai există un tip aparte de hidrocefalie, cea idiopatică, ale cărei cauze nu se cunosc. Cu o incidență anuală de 5.5 la 100.000 de locuitori, aceasta afectează persoanele de peste 40 de ani. Acest tip de hidrocefalie nu reprezintă o urgență medicală, pentru că simptomele apar insidios și se agravează progresiv: tulburări de mers, de memorie și incontinență urinară, care afectează calitatea vieții, dar fără a o pune în pericol. Cei afectați trebuie să fie îndrumați către serviciile de neurologie și neurochirurgie, iar ulterior, dacă este necesar, în funcție de fiecare caz, către un consult de psihiatrie. În schimb, hidrocefalia poate constitui o urgență în formele sale secundare, când se manifestă cu deteriorarea stării de conștiență sau atunci când apare la copil”, spune medicul neurochirurg.
Hidrocefalia comunicantă

Hidrocefalia obstructivă, cunoscută și sub denumirea de noncomunicantă, apare atunci când există un obstacol în circulația LCR-ului între cei patru ventriculi cerebrali: de exemplu:
- în cazul prezenței unor tumori cerebrale;
- în cazul stenozei de apeduct;
- după intervenții chirugicale la nivelul fosei posterioare.
Însă, practica a demonstrat că, în multe cazuri, hidrocefalia poate avea cauză mixtă, exprimată atât printr-o problemă resorbtivă, cât și printr-o problemă obstructivă (cum se întâmplă în cazul unei hemoragii intracraniene, de exemplu).
„Consecința prezenței anormale a acestui fluid într-un compartiment inextensibil precum craniul adult este o creștere a presiunii din interiorul acestuia (hipertensiune intracraniană), care comprimă creierul și împiedică sângele care vine din inimă să alimenteze eficient țesutul cerebral”, explică dr. Costache.
Hidrocefalia Obstructivă - stenoza de apeduct
Cum se stabilește diagnosticul
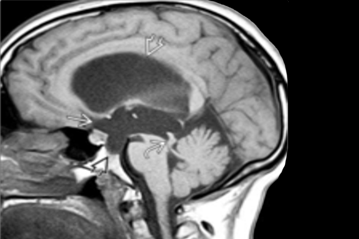
În urma consultației de specialitate (neurologie, de principiu), plecând de la simptomele identificate la pacient și completând cu informațiile rezultate în urma investigațiilor imagistice, se stabilește diagnosticul.
„Dacă în urma examenului IRM sau CT cerebral se evidențiază un sistem ventricular lărgit prin acumulare în exces de lichid cefalorahidian, fără a exista o cauză obstructivă, se confirmă suspiciunea de hidrocefalie. Suplimentar se poate efectua și o puncție lombară pentru a măsură presiunea lichidului, care trebuie să fie sub 24 cm H2O în cazul unei hidrocefalii cu presiune normală. În cazul unei presiuni de peste 24 cm H2O, ne gândim la o hidrocefalie obstructivă. Uneori, în urma acestei puncții, se evacuează o cantitate de aproximativ 30-40 ml LCR și, în funcție de evoluția clinică, adică dacă simptomatologia se ameliorează sau nu, se decide montarea unui sistem de drenaj”, precizează medicul neurochirurg.
Soluții pentru a drena excesul de LCR
Dacă drenajul lichidului cefalorahidian nu are loc natural, prin mijloacele cu care este prevăzut un organism sănătos, trebuie intervenit artificial prin introducerea unei cateter. Astfel, surplusul de lichid este drenat în alte cavități ale corpului: peritoneu, torace etc.
„Tratamentul chirurgical constă în montarea unui cateter la nivelul unui ventricul lateral, care să dreneze excesul de LCR ce nu poate fi resorbit fără intervenție din exterior. Cel mai folosit sistem de drenaj este cel ventriculo-peritoneal (DVP). Această intervenție constă în montarea unui cateter la nivelul unui ventricul lateral, după care se conectează la o valvă, care poate avea diferite presiuni, prestabilite sau programabile. Rolul acesteia este de a controla cantitatea de LCR drenată prin sistem. Valva se conectează la un alt cateter care, tunelizat subcutan, se introduce în cavitatea peritoneală, unde va fi drenat și resorbit LCR-ul. Atunci când, din diferite motive (de exemplu, peritonită, aderențe etc.), este contraindicată introducerea cateterului în cavitatea abdominală, acesta poate fi introdus în atriul drept al inimii, în cavitatea pleurală sau, mai rar, în vezica urinară ori în sinusul sagital superior, un vas mare de drenaj al creierului. O altă opțiune ar fi drenajul lombo-peritoneal, ce constă în montarea unui cateter la nivel lombar, subdural, care este tunelizat, sub piele, până la nivelul abdomenului, fiind introdus în cavitatea abdominală – aceasta se folosește mai ales în cazul unei hipertensiuni intracraniene idiopatice. De asemenea, atunci când, din anumite motive, se amână intervenția chirurgicală de montare a unui sistem de drenaj, poate fi folosit ca adjuvant tratamentul cu acetazolamidă, pentru inhibarea secreției LCR – însă fără o ameliorare considerabilă a simptomatologiei, după cum arată studiile”, explică medicul neurochirurg.
Hidrocefalia „cu presiune normală” poate avea o serie de consecințe, printre care și apariția unei forme de demență, pe fondul deteriorării progresive a funcției cognitive. Dacă se intervine devreme, unele forme de demență pot fi reversibile prin tratament.
„După intervenția chirurgicală și montarea sistemului de drenaj (indiferent de tipul ales), ameliorarea simptomelor apare în câteva zile și este treptată. Evoluția este diferită de la pacient la pacient. Primul simptom ameliorat este incontinența urinară, apoi tulburările de mers și, în cele din urmă, tulburările de memorie. Trebuie avut în vedere că un pacient poate avea mai multe patologii suprapuse – de exemplu, un pacient cu hidrocefalie poate avea și demență Alzheimer, iar într-o asemenea situație, un drenaj nu va rezolva și tulburările de memorie, ci doar pe cele de mers și incontinența urinară”, mai spune dr. Costache.
În afara drenajului, există și alte modalități de tratament, dar acestea se referă la forme ale hidrocefaliei secundare altor afecțiuni, de obicei, obstructive. În general, soluția terapeutică este chiar îndepărtarea obstacolului care blochează circulației LCR.
Ce complicații pot apărea prin instalarea sistemului de drenaj
Potrivit dr. Alina Costache, prin folosirea sistemului de drenaj, pot apărea următoarele situații considerate complicații:
- dacă presiunea din valvă este prea mare, cantitatea de LCR drenată va fi mică, rezultând un drenaj ineficient. Aceeași situație poate să apară și în cazul unei obstrucții la nivelul sistemului de drenaj. Dacă presiunea din valvă este prea mică, atunci cantitatea de LCR drenată va fi prea mare, ducând la apariția unui hematom subdural sau unei higrome (o acumulare de lichid între dura-mater, membrana de suprafață din cele trei ale meningelui, si arahnoida, membrana mijilocie). În ambele situații, soluția este o nouă intervenție și schimbarea valvei. Atunci când este disponibilă, se poate folosi o valvă programabilă, a cărei presiune poate fi modificată din exterior, fără a fi nevoie de o intervenție și de schimbarea ei.
- o obstrucție a sistemului la nivelul cateterului ventricular, valvei sau cateterului distal;
- deconectarea componentelor sistemului;
- producerea unui hematom intracerebral la momentul introducerii cateterului ventricular;
- transferarea unei infecții prin cateter;
- favorizarea unei crize epileptice (5,5% în primul an);
- producerea unor leziuni la nivelul pielii care acoperă unele componente ale sistemului de drenaj;
- apariția unei alergii la silicon (în acest caz, cateterele confecționate din silicon pot fi înlocuite cu unele din poliuretan).
Printre simptomele care sunt resimțite în urma apariției complicațiilor după instalarea unui sistem de drenaj se numără:
- durerile de cap persistente, care nu cedează la administrarea de antialgice;
- grețurile, vărsăturile;
- febra;
- alterarea stării de conștiență.
Așadar, de multe ori, hidrocefalia nu se manifestă prin simptome categorice, ci mai degrabă insidios. Evident, cu cât se intervine mai devreme prin măsuri terapeutice, cu atât proporția de refacere crește – însă fiecare organism este unic și răspunde diferit la tratament.
Consultant de specialitate: dr. Alina Costache, medic specialist neurochirurgie în cadrul Ponderas Academic Hospital

