
Contactează-ne!
Ai simptome care te supără? Solicită chiar acum un sfat medical specializat.
Limfomul Hodgkin, intalnit uneori si sub denumirea de boala Hodgkin, reprezinta un tip de carcinom (cancer) specific sistemului limfatic. Acest tip de limfom este mai rar intalnit decat al doilea tip principal de cancer limfatic, limfomul non-Hodgkin, dar reprezinta, totusi, o cauza de carcinom, intalnita mai ales in randul persoanelor tinere. Multitudinea de optiuni terapeutice disponibile si aparitia constanta a inovatiilor medicale imbunatatesc din ce in ce mai mult prognosticul acestei boli.
Limfomul Hodgkin si limfomul non-Hodgkin
Limfomul Hodgkin reprezinta un tip de carcinom al sistemului limfatic. Sistemul limfatic este o componenta esentiala a sistemului imun, intrucat transporta un numar mare de celule cu rol in apararea organismului, prin intermediul vaselor limfatice si al statiilor ganglionare (ganglionii limfatici).
Principalele celule de aparare vehiculate prin intermediul sistemului limfatic sunt limfocitele. Acestea sunt de doua feluri:
- Limfocitele B (cu rol in apararea umorala) - acestea sintetizeaza si elibereaza in circulatie anticorpii;
- Limfocitele T (cu rol in apararea celulara) - sunt de mai multe feluri, principalele lor roluri fiind de distructie a microorganismelor patogene si de modulare a activitatii altor celule ale sistemului imun.
In limfomul Hodgkin, limfocitele B incep sa se multiplice intr-un mod necontrolat, astfel, acumulandu-se in diferite zone pe traiectul sistemului limfatic, in general, la nivelul ganglionilor limfatici, unde favorizeaza formarea unor mase tumorale.
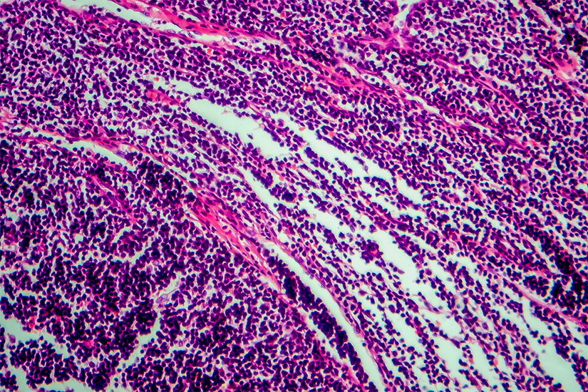
Limfomul non-Hodgkin are un comportament asemanator cu cel Hodgkin, astfel ca deosebirea dintre ele se realizeaza cu ajutorul investigatiilor de laborator, prin intermediul microscopului. Astfel, pe un frotiu cu celule neoplazice, limfomul Hodgkin va prezenta niste formatiuni celulare suplimentare, denumite Reed-Sternberg, in timp ce, in proba limfomului non-Hodgkin, acestea vor fi absente.
Celulele Reed Sternberg sunt celule considerate gigante ( 50 microni), care deriva din limfocitele B in urma unor mutatii genetice si au un aspect specific de “ochi de bufnita”. Din cauza ca pot avea mai multi nuclei, ori un nucleu cu doi lobi si nucleoli proeminenti, dau acest aspect inconfundabil din limfomul Hodgkin.
Tipuri de limfom Hodgkin
Limfomul Hodgkin poate fi clasificat in mai multe tipuri. Doua dintre ele reprezinta cele doua categorii principale: limfomul Hodgkin clasic si limfomul Hodgkin nodular cu predominanta limfocitara. Primul este mult mai des intalnit decat cel de-al doilea, iar cele doua au adesea atat un prognostic, cat si un mod de abordare terapeutica diferite.
La randul sau, limfomul clasic se imparte in alte patru subcategorii:
- Limfom Hodgkin cu scleroza nodulara;
- Limfom Hodgkin cu celularitate mixta;
- Limfom Hodgkin cu depletie limfocitara;
- Limfom Hodgkin bogat in limfocite.
Identificarea tipului si subtipului de limfom constituie un pas important in procesul diagnostic si in alegerea conduitei terapeutice.
Cauze si factori de risc
Precum si in alte tipuri de carcinoame, limfomul nu are una sau mai multe cauze de aparitie bine delimitate. Se considera ca debutul bolii este semnalat de catre aparitia unei mutatii genetice, produse la nivelul unui limfocit, urmand multiplicarea necontrolata a acestuia. Principalii factori declansatori care pot favoriza mutatia genetica sunt factorii de mediu si stilul de viata al persoanei in cauza.
Anumite persoane se pot afla in categorii de risc pentru dezvoltarea unui limfom Hodgkin. Exemplele identificate de factori de risc includ:
- Varsta - se considera ca un limfom Hodgkin este mai probabil sa apara in intervalul de varsta 15-30 de ani si dupa varsta de 55 de ani;
- Istoricul familial (antecedentele heredocolaterale) - precum in cazul altor tipuri de cancer, istoricul de limfom la o ruda de grad apropiat reprezinta un factor de risc semnificativ;
- Sexul - limfomul Hodgkin este mai des intalnit in cazul barbatilor decat al femeilor;
- Istoricul personal patologic - persoanele care au avut mononucleoza ca urmare a infectiei cu virusul Epstein Barr sunt mai susceptibile la dezvoltarea limfomului decat cele cu istoric negativ;
- Statusul imunosupresiv - ex: purtator HIV/boala SIDA;
- Obiceiurile alimentare nesanatoase;
- Fumatul.
Simptome in limfomul Hodgkin
Tabloul clinic din limfomul Hodgkin reflecta implicarea sistemului limfatic si, implicit, pe a celui imun, astfel ca manifestarile sunt sugestive pentru aceasta patologie.
Printre principalele simptome intalnite in limfomul Hodgkin se afla:
- Limfadenopatia asimptomatica (nedureroasa) - la nivelul gatului, axilei sau zonei inghinale;
- Oboseala marcata;
- Febra in asociere cu transpiratii nocturne;
- Pierderea excesiva si nejustificata a greutatii;
- Prurit;
- Durere la nivelul coloanei vertebrale si/sau la nivelul oaselor;
- Durere brusca la nivelul ganglionilor limfatici, aparuta in urma consumului de alcool;
- Marirea in volum a altor organe limfatice - ex: amigdalele, splina;
- Marirea ficatului (hepatomegalie).
Diagnosticul si stadializarea limfomului Hodgkin

Este foarte important ca procesul diagnostic al limfomului Hodgkin sa debuteze cu istoricul medical si familial al pacientului si sa fie continuat cu un examen fizic general. Informatiile acumulate din aceste doua etape trebuie completate prin investigatii suplimentare, precum:
- Testele de laborator - teste de sange;
- Testele imagistice - radiografie, CT, PET;
- Excizia unui ganglion limfatic - cu scopul identificarii unei potentiale invadari ganglionare, precum si pentru identificarea celulelor Reed-Sternberg;
- Biopsia de maduva (din osul coxal) - cu scopul izolarii celulelor neoplazice.
Odata stabilit diagnosticul, pasul urmator este reprezentat de catre stadializarea cancerului. Aceasta etapa este esentiala, intrucat indica gradul de avansare a bolii (local si/sau catre alte organe), prognosticul si optiunea terapeutica de electie..
Astfel, intr-un neoplasm limfatic de tip Hodgkin, exista 4 stadii principale:
- Stadiul I - celulele canceroase sunt limitate la ganglionul limfatic sau la organul limfatic in care a debutat procesul malign (vasele limfatice, splina, timusul, maduva spinarii, amigdalele, tractul digestiv);
- Stadiul II - celulele maligne pot fi identificate in doi ganglioni limfatici sau intr-un organ vecin si vasele limfatice adiacente lui, ramanand, totusi, doar de o parte a diafragmului;
- Stadiul III - celulele maligne au invadat ganglionii limfatici de ambele zone ale diafragmului (superior si inferior), precum si intr-un organ adiacent ganglionilor;
- Stadiul IV - reprezinta stadiul final al limfomului, identificabil prin raspandirea celulelor neoplazice la nivelul mai multor organe (ficat, plamani, oase).
Tratamentul in limfomul Hodgkin
In urma parcurgerii pasilor diagnostici si identificarii stadiului in care se afla boala, medicul va discuta impreuna cu pacientul, ii va oferi detalii despre toate optiunile de tratament eficiente (in cazul in care acestea sunt multiple) si, impreuna cu acesta, va lua decizia terapeutica potrivita.
Exista patru abordari principale impotriva limfomului Hodgkin:
- Chimioterapia - reprezinta metoda prin care celulele neoplazice sunt distruse chimic, in decursul mai multor sedinte;
- Radioterapia - reprezinta metoda prin care celulele neoplazice sunt distruse prin intermediul razelor de energie inalta (ex: raze X) si se foloseste, in general, drept adjuvant pentru chimioterapie;
- Transplantul de maduva hematogena (transplantul de celule stem) - folosit, in special, in cazul recurentelor bolii, in ciuda tratamentelor cu chimioterapie si radioterapie;
- Terapii alternative (ex: terapia imunologica).
In concluzie, limfomul Hodgkin reprezinta o patologie maligna, intalnita in special in randul persoanelor tinere si al carei tablou clinic se poate asemana cu alte patologii ale sistemului limfatic, in special cu limfomul non-Hodgkin. Precum in cazul celorlalte patologii neoplazice, depistarea timpurie este cruciala, intrucat mareste plaja de optiuni terapeutice si imbunatateste prognosticul bolii.
Bibliografie:
Generalitati in limfomul Hodgkin https://www.nhs.uk/conditions/hodgkin-lymphoma/
Simptome https://www.mayoclinic.org/diseases-conditions/hodgkins-lymphoma/symptoms-causes/syc-20352646
Diagnostic si tratament https://www.mayoclinic.org/diseases-conditions/hodgkins-lymphoma/diagnosis-treatment/drc-20352650
Debut https://www.cancer.org/cancer/hodgkin-lymphoma/about/what-is-hodgkin-disease.html
Tablou clinic https://emedicine.medscape.com/article/201886-overview
Stadializare si tratament https://my.clevelandclinic.org/health/diseases/6206-adult-hodgkins-lymphoma