Investigatii

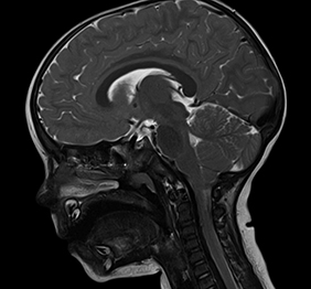
RMN cu sedare la copii
Pentru a obtine un rezultat cat mai exact, protocoalele medicale din domeniul imagisticii recomanda sedarea obligatorie in cazul copiilor sub 3 ani.

RMN coloana vertebrala
Imagistica prin rezonanta magnetica a revolutionat evaluarea sistemului nervos central, inclusiv explorarea structurilor coloanei vertebrale si diagnosticul leziunilor neurodegenerative.

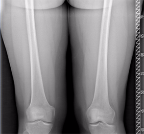
Radiografie cu stitching
Este o metoda radiologica de reconstructie a imaginilor obtinute, pentru a permite o vizualizarea cat mai exacta si precisa fie a membrelor inferioare, fie a coloanei vertebrale in intregime.
Contact
Adresa:
Calea Vacaresti, nr. 391, sector 4, mall Sun Plaza, etaj 2, intrarea prin mall, Bucuresti
Telefon: