Investigatii

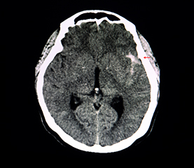
CT Cerebral
Computerul tomograf permite obtinerea unor imagini cu rezolutie crescuta la nivel cerebral. Pentru o mai buna diferentiere a structurilor anatomice se poate administra substanta de contrast intravenoasa.

CT Torace
CT-ul de torace este investigatia recomandata de medici pentru evaluarea posibilelor leziuni pulmonare ale pacientilor infectati si vindecati de COVID-19, indiferent de forma de boala.

CT Abdomen si pelvis
Investigatia este utilizata pentru vizualizarea in detaliu a organelor abdominale si pelvine: rinichi, ficat, splina, pancreas, cat si pentru analizarea stomacului si a intestinelor.
Contact
Adresa:
Str. Mihai Viteazu Nr.4, Sannicolau Mare
Telefon: