Contactează-ne!
Ai simptome care te supără? Solicită chiar acum un sfat medical specializat.
Desi tumora este benigna, poate suferi o crestere progresiva cu compresia si infiltrarea structurilor din vecinatate. Tratamentul de electie este excizia chirurgicala. Cu toate acestea, din cauza ca aceste formatiuni tind sa se infiltreze in structurile vitale ale gatului - vasele mari si nervi, excizia completa este dificila, iar daca se reuseste doar partial, rata de recurenta este foarte mare. Chirurgul care incearca extirparea chirurgicala a leziunii trebuie sa cunoasca foarte bine detaliile anatomice pentru a nu leza inutil aceste structuri neurovasculare delicate.
„Rezultatele foarte bune obtinute in cazul celor doua fetite paciente diagnosticate cu limfangiom cervical se datoreaza disectiei minutioase a formatiunii. Excizia in intregime este neaparat necesara pentru a minimiza sansa de recidiva si limforagia (scurgerea de limfa) prelungita, insa trebuie obtinuta fara a sacrifica elementele anatomice importante, cum sunt vasele si nervii, ceea ce ar putea sa duca la sechele pe termen lung si handicap.
Fiecare operatie a insemnat ore de concentrare maxima si migala, de disectie delicata, dar precisa, pentru a ne asigura ca am scos tumora in totalitate, fara insa sa producem nici cea mai mica lezare a vreunui nerv sau vas, fara sa avem nicio complicatie.” - a explicat in ce a constat provocarea chirurgicala a tratamentului de succes al celor doua cazuri de limfangiom Dr. Daniela Dobritoiu, medic specialist chirurg pediatru, cu experienta deosebita in chirurgia malformatiilor congenitale la copii, din cadrul Departamentului de Chirurgie Pediatrica din Ponderas Academic Hospital.
„Dna. Dr. Daniela Dobritoiu, o zana buna care a facut magie in sala de operatie!”
Povestea Mirunei
„Povestea Mirunei, asa cum am trait-o noi, parintii ei, a inceput cand ea avea un pic peste 1 an, cand in urma unor viroze respiratorii i-a aparut o mica umflatura in zona gatului, lucru explicat de catre medicul pediatru ca fiind inflamarea ganglionilor limfatici, un aspect obisnuit in contextul unor raceli si care va disparea in timp. Insa mica umflatura a continuat sa se mareasca, ajungand la varsta de 1 an si 3 luni de dimensiunea unei piersici. Pentru stabilirea unui diagnostic, am fost indrumati catre un chirurg pediatru.
1000 de intrebari si niciun raspuns
Si asa a inceput calatoria Mirunei. A fost vazuta de 8 medici chirurgi pediatri, fara un diagnostic clar. Raspunsurile primite se rezumau la „Nu va putem ajuta cu nimic, fetita este prea mica.”. Insa nu ne-am oprit aici. Umflatura crestea si, desi nu era dureroasa, ii crea fetitei un disconfort, in special cand intorcea capul sau cand era imbracata. Iar cei din jur, nu de putine ori, se uitau intrebatori la ea.
Doamna doctor stia ce are Miruna si stia ca poate s-o ajute
Printr-o intamplare fericita, am ajuns la Camera de Garda de Pediatrie din Ponderas Academic Hospital si asa am cunoscut-o pe doamna doctor Daniela Dobritoiu. Nu numai ca este un om delicat, sensibil si empatic, insa este si un medic cu incredere in cunostintele si experienta acumulata, incat ne-a facut pe noi, parintii care aveau 1000 de intrebari si niciun raspuns, sa plecam din cabinet plini de incredere si speranta. Doamna doctor stia ce are Miruna si stia ca poate s-o ajute. Ne-a recomandat sa facem o ecografie a tesuturilor moi pentru a avea o reprezentare mai clara a provocarii afectiunii Mirunei. Ne-a informat ca Miruna are o tumora, un limfangiom chistic. Am stabilit ce urmeaza: o interventie chirurgicala destul de riscanta tinand cont de varsta Mirunei si de localizarea tumorii. Insa am stiut ca Dna. Dr. Dobritoiu va face tot posibilul, chiar si imposibilul, pentru Miruna!
O echipa medicala minunata!
A venit ziua interventiei chirurgicale. Si desi eram in spital, am cunoscut atatea persoane minunate! Doamna doctor anestezist, care ne-a intampinat cu zambetul pe buze si ne-a insuflat atata optimism, incat pentru noi, doi parinti speriati, tematori, emotionati, a fost ca un pansament pe suflet in acele momente dificile! Doamnele asistente care ne-au informat si ne-au explicat tot ce voiam sa stim si pentru care, Miruna a fost ca si copilul lor!
Noi, parintii ei, nu am fost pregatiti pentru asa ceva!
Echipa medicala era pregatita, Miruna era si ea gata. Noi, parintii ei, nu am fost pregatiti pentru asa ceva! In decursul celor 3 ore si jumatate cat a durat operatia, am atins cele mai inalte culmi ale universului, macinati de ganduri si am cazut in abis, ingreunati de intrebari. Dar eram siguri ca fetita noastra e acum in cele mai bune maini, atat medicale, cat si umane. In tot acest timp, doamnele asistente veneau la noi si ne informau in legatura cu derularea interventiei, ceea ce pentru noi a fost de mare ajutor, pentru a depasi clipele care pareau ca nu mai treceau.
Cand asistenta a venit sa ne anunte ca acum putem s-o vedem pe Miruna, care era la Terapie Intensiva, am zburat pana acolo! Ne asteptau doamna doctor Dobritoiu, doamna doctor anestezist si o doamna asistenta. Fiecare dintre ele ne-a redat in detaliu ce s-a intamplat in sala de operatie si ne-au aratat poze cu „ce ducea Miruna in spate”. In tot acest timp, Miruna dormea linistita in patul imens din terapie intensiva. Doamna doctor ne-a explicat ca nu mai exista urme de tumora, ca a reusit sa extirpe tot. Doamna doctor anestezist si doamna asistenta au stat langa noi pana cand Miruna si-a revenit din anestezie. Atunci, ne-am simtit in siguranta, am stiut ca Miruna este in siguranta. Cand Miruna a cerut de mancare, am stiut ca totul e, de acum, ok.
Mici detalii
Am ramas cu Miruna in spital peste noapte. Am avut parte de cele mai bune conditii, insa atentia doamnelor asistente a fost binefacatoare. Au avut grija de Miruna cu multa delicatete si implicare, iar pe mine m-au incurajat mereu. In timpul noptii, am simtit cum doamna asistenta a venit si a tras patura peste noi. M-am simtit in siguranta maxima. Aceste mici detalii fac ca recunostinta si respectul nostru pentru cadrele medicale din Spitalul Ponderas sa fie prea putin!
Acum Miruna este bine!
Am asteptat rezultatele la examenul histopatologic. Desi, undeva, in adancul sufletului nostru stiam ca tumora va fi benigna, asteptarea a fost lunga si grea, dar am trecut mai usor deoarece am avut sustinerea doamnei doctor, mergand destul de des la control.
Acum Miruna este bine! Doar o mica cicatrice, care se mascheaza perfect intr-o cuta naturala a gatului, ne reaminteste de calatoria noastra. Dna. Dr. Daniela Dobritoiu a fost o zana buna, care a facut magie in sala de operatie!
Suntem profund recunoscatori echipei de medici din Spitalul Ponderas Academic Hospital si in special doamnei doctor Dobritoiu. Pentru profesionalism, implicare, empatie, incredere. Pentru ca au fost acolo, alaturi de noi, si ne-au ghidat cu rabdare, pe tot parcursul acestei calatorii. Pentru ca sunt profesionisti remarcabili si pentru ca sunt „Oameni”, cu litera mare.” - a incheiat povestea mama Mirunei.
Diagnosticul si tratamentul limfangiomului cervical la copii in Ponderas Academic Hospital
Micuta pacienta in varsta de 1 an si 3 luni a fost consultata in Ponderas Academic Hospital de Dr. Daniela Dobritoiu, Medic Chirurg Pediatru, pentru o tumora laterocervicala stanga aparuta de mai multe luni, care a crescut progresiv, mai accelerat in ultimele 2 saptamani, in cursul unor infectii pe caile respiratorii superioare.
Pentru stabilirea diagnosticului s-a efectuat ecografie locala. Ecografia este prima investigatie recomandata de obicei in cazul copiilor de varsta mica, pentru formatiuni tumorale cu localizare variata. Ofera informatii valoroase si este non-invaziva. Daca este nevoie de caracterizarea in detaliu a extinderii leziunii si a rapoartelor anatomice, urmatoarele optiuni sunt investigatiile imagistice de tip CT si IRM (RMN). Decizia de a le folosi este insa analizata cu atentie, intrucat aceste investigatii imagistice expun copilul la o doza semnificativa de radiatii (in cazul CT) si necesita anestezie generala pentru efectuarea lor in conditii optime.
Ecografia a evidentiat un hemolimfangiom laterocervical.
Ce este limfangiomul
Limfangiomul este o malformatie congenitala a sistemului limfatic, reteaua de vase responsabila de intoarcerea in sistemul venos a excesului de lichide de la nivelul tesuturilor. Poate sa apara la orice varsta si in orice parte a corpului, insa 90% dintre cazuri sunt diagnosticate inainte de varsta de 2 ani si implica in special capul si gatul. Limfangiomul reprezinta 6% din toate tumorile benigne la copil si apare in mod egal la fete si baieti.
Este o afectiune rara, fiind diagnosticat la 1 din 4000-6000 de nou-nascuti. Patogeneza exacta nu este pe deplin cunoscuta. Se crede ca limfangiomul este cauzat de o anomalie de dezvoltare a sistemului vascular limfatic in timpul cresterii embrionare.
Limfangiomul se prezinta ca o umflatura de natura chistica, moale si nedureroasa, evidenta. Formatiunea chistica este frecvent superficiala si umpluta cu lichid (limfa si sange). Parintele observa deformarea inestetica la nivelul gatului copilului, desi frecvent acesta nu are alte simptome. Chiar si atunci cand au dimensiuni mari, aceste tumori pot sa fie asimptomatice, deoarece cresc lent la nivelul gatului, intr-o zona cu piele elastica. De aceea, in aproximativ 2/3 din cazuri, copilul ajunge la medic fara probleme functionale care pot sa apara prin compresia produsa de tumora pe structurile invecinate, deoarece aspectul cosmetic atrage atentia parintelui cu mult mai devreme in cursul bolii. Uneori, limfangiomul se poate infecta, deoarece vasele limfatice anormale au o capacitate limitata de a elimina materialele straine, in timp ce continutul ridicat proteic si de sange din interiorul chisturilor favorizeaza cresterea excesiva a bacteriilor.
Istoricul medical si examenul fizic sugereaza de obicei diagosticul de limfangiom. Uneori este necesar sa se confirme diagnosticul si sa se faca diagnosticul diferential cu alte formatiuni cervicale, cum ar fi: lipom, chist dermoid, chist branhial, chist de canal tireoglos, teratom, tumori de glanda salivara sau tiroida, neurofibrom si meningoencefalocel. Ecografia de tesuturi moi este investigatia de prima intentie si este utila in demonstrarea naturii solide sau chistice a leziunii. Diferentierea de alte chisturi umplute cu lichid poate necesita aspiratia cu ac si biopsie. Pentru evaluarea extensiei tumorii, se considera ca imagistica prin rezonanta magnetica este o modalitate foate utila. Diagnosticul cert este obtinut prin examenul histopatologic al probei chirurgicale.
Tratamentul chirurgical ramane prima optiune de tratament, in special in cazul limfangioamelor mari. Intentia principala este realizarea rezectiei totale. Totusi, interventia chirurgicala a limfangioamelor de la nivelul capului si gatului este una dificila, din cauza relatiei stranse si a demarcatiei slabe fata de structurile adiacente vitale (vase, nervi) pe care tumora le invadeaza. De aceea, indepartarea totala nu este posibila mereu. Insa pentru prevenirea recidivei este nevoie de extirparea completa a tumorii.
Disectia deliberat lenta, efectuata cu atentie minutioasa la detaliile anatomice, hemostaza excelenta si expunerea unui camp operator larg sunt esentiale pentru un rezultat favorabil si pot fi posibile atunci cand interventia chirurgicala este efectuata de catre echipe experimentate.
Tratamentul propus
Desi exista variante de tratament de tip injectare locala cu substante sclerozate, marea majoritate a acestora sunt doar solutii partiale sau temporare. De aceea, Dr. Dobritoiu a propus in cazul Mirunei tratamentul chirurgical, curativ – excizia ad integrum a formatiunii. Operatia a durat aproximativ 3 ore si jumatate si au fost excizate in totalitate 2 leziuni chistice adiacente, una cu continut hematic, cealalta cu continut limfatic, de aproximativ 3 cm in diametru fiecare.
„Interventia a fost una complexa si delicata. Complexa, deoarece prin localizarea lui, limfangiomul avea raporturi cu structuri nervoase si vasculare importante de la nivelul gatului. Delicata, pentru ca am efectuat o incizie minima si am disecat cu minutiozitate in asa fel incat sa scoatem formatiunea in procent de 100 %, pentru a scadea rata de recidiva si limforagia postoperatorie – una dintre complicatiile bine cunoscute ale acestui tip de interventie.” - a mentionat Dr. Dobritoiu.
Durerea postoperatorie a fost controlata foarte bine prin infiltrare locala cu anestezic la finalul interventiei. La nivelul plagii a existat un minim edem local si o minima secretie care s-a exteriorizat pe tubul de drenaj local. Drenajul a fost indepartat in mod deliberat la 24 de ore, pentru o vindecare cat mai buna, si copilul a fost externat a doua zi. La aproape un an si jumatate postoperator, tumora nu a reaparut, iar cicatricea este minima.
„Dr. Daniela Dobritoiu, „eroul” nostru”
Povestea Emei
O noua poveste, asa cum este spusa de mama micutei paciente de 4 ani.
„Am fost atat de panicata cand am descoperit umflatura la gatul fetitei mele, desi parea ca nu o doare nimic, ca e sanatoasa. Voiam sa ajung cat mai repede la un doctor. In acel moment nu stiam ca exista spitalul Ponderas. Am ajuns la un spital de stat din Bucuresti, unde am fost mai mult descurajata, decat incurajata. Mi-au spus ca este posibil sa imi moara fata chiar in seara aceea, pentru ca medicii nu se pot pronunta in legatura cu ceea ce se afla la nivelul gatului copilului. I s-au facut analize de sange, care au iesit foarte bune, un consult ORL, ecografie. Din cauza ca aceasta nu a fost concludenta, ca urmare a limitarii aparatului, i s-a recomandat efectuarea unui computer tomograf, sub anestezie generala. Diagnosticul a fost de limfangiom chistic la nivelul gatului. Mi s-a spus ca este nevoie urgenta de interventie chirurgicala, intrucat necunoscandu-se perioada in care s-a dezvoltat tumora, medicii nu puteau aprecia cat de rapid leziunea va pune presiune pe vasele principale sau va determina insuficienta respiratorie.
As fi vrut sa fie doar un cosmar, insa era realitatea
In acel moment m-am speriat si mai tare. Am fost de acord cu operatia, am fost de acord ca trebuie sa scoatem de acolo ce nu trebuia sa fie. Insa cand am intrebat medicul care sunt riscurile si care este parcursul interventiei, raspunsul a fost transant si inspaimantator: „Operatia este una grea, tumora este chiar langa jugulara, se poate pierde sange, copilul poate muri pe masa de operatie.”. Am izbucnit in plans. As fi vrut sa fie doar un cosmar, sa ma trezesc dintr-un vis urat. Insa era realitatea. Medicul din fata mea nu a facut decat sa aprofundeze si mai mult teama mea de a nu se intampla ceva rau. Am plecat acasa si ne-am decis sa cerem o a doua parere.
Am ajuns la cineva „specialist”
Cu drag si bucurie am primit vestea ca vom ajunge totusi la cineva „specialist”, cum imi place mie sa spun. Ne-a fost recomandata doamna doctor Daniela Dobritoiu, medic specialist in chirurgie pediatrica, specializata in malformatii congenitale.
Mi-a spus din prima clipa ca, intr-adevar, este nevoie de interventie chirurgicala si pentru a avea o caracterizare cat mai buna a tumorii, a recomandat efectuarea unei ecografii de parti moi. Datorita aparaturii performante, s-a vazut foarte clar ce este, fara ezitari.
Din primul moment, am apreciat-o pe doamna doctor, atat ca om, cat si ca medic. Conteaza enorm sa ti se vorbeasca calm si sa ti se explice, astfel incat sa poti sa intelegi ca desi este o operatie riscanta, exista o intreaga echipa in sala de operatie, pregatita sa faca fata oricarei complicatii.
Nu am mai stat pe ganduri, am programat operatia. Ce a urmat au fost 6 ore si jumatate de stres, dinti inclestati, pumni stransi, emotii, asteptare cu sufletul la gura. In tot acest timp, doamnele asistente ne-au tinut la curent cu desfasurarea interventiei.
Pentru mine este un EROU
Am asteptat cu sufletul la gura vestile bune ce aveau sa vina. A venit dna. Dr. Dobritoiu si ne-a spus ca operatia a fost un real succes, nu au existat niciun fel de complicatii, nu a fost nevoie nici de transfuzii de sange, desi echipa era pregatita pentru astfel de situatii. Intregul limfangiom, care avea peste 6 centrimetri si mai multe ramificatii, a fost inlaturat in totalitate. M-a luat si m-a dus la Terapie Intensiva unde fetita tocmai fusese adusa si unde nu a fost nevoie sa stea prea mult, pentru ca evolutia ei a fost una extraordinara. A doua zi am eram din nou acasa la noi.
Ema s-a simtit foarte bine imediat, nici nu arata asemeni unui copil care a suferit o operatie. Iar acum, dupa 1 an si 4 luni, aproape ca nici nu se mai cunoaste taietura. S-a cicatrizat foarte frumos, a ramas doar o mica dunga alba, foarte fina si neteda. Este un copil bun si cuminte, un copil activ, in grupa mare la gradinita.
Din suflet, i-am multumit doamnei Dr. Dobritoiu. O consider eroul nostru, pentru ca asta a fost pentru noi, un EROU. Ne-a ajutat si mi-a facut fetita bine. Mii de multumiri intregii echipe medicale, cu totii au contribuit la sanatatea Emei.”
6 ore de operatie laborioasa fac posibila rezectia in totalitate, fara complicatii a unui limfangiom cervical mare aflat in contact cu vena jugulara
Fetita in varsta de 4 ani a fost consultata pentru aparitia in urma cu 2 saptamani a unei formatiuni tumorale laterocervicale stangi intr-un spital de stat, unde i s-a efectuat examen CT si a fost indrumata catre un consult ORL si chirugical. Dupa stabilirea diagnosticului de hemolimfangiom, i s-a propus tratamentul chirurgical expunandu-i-se riscurile reale ale interventiei (legate de recidiva, limforagie/drenaj prelungit local si posibila afectare a structurilor nervoase aflate in imediata vecinatate a formatiunii).
Micuta pacienta a ajuns printr-o recomandare in Ponderas Academic Hospital, la Dr. Daniela Dobritoiu, medic specialist chirurg pediatru cu experienta in tratamentul chirurgical al malformatiilor congenitale. Investigarea a fost suplimentata cu o ecografie locala – pentru o examinare cat mai apropiata de momentul operator. Ecografia a permis efectuarea unor imagini de reconstructie, foarte utile pentru pregatirea pre-operatorie, pentru intelegerea anatomiei locale. Ecografia a fost efectuata de Dr. Dana Nedelcu, medic primar radiologie si imagistica medicala, unul dintre cei mai experimentati imagisti, fiind alegerea medicilor clinicieni in cazurile complexe.

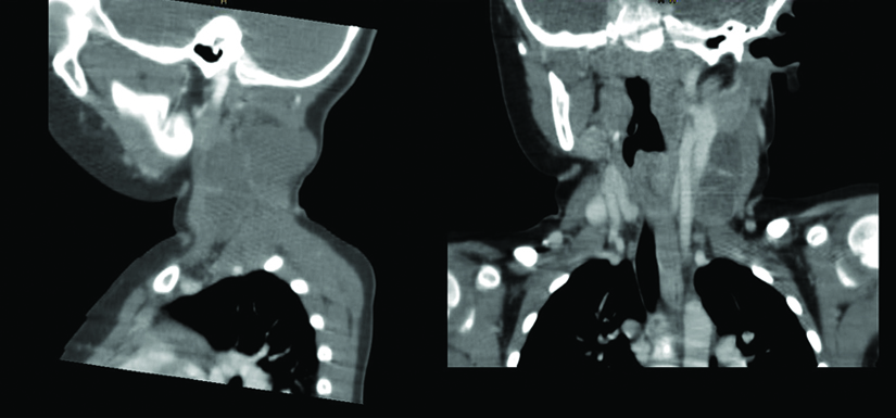
Examenul CT evidentiaza o tumora de dimensiuni mari, de peste 6 cm, care deformeaza intreaga regiune laterocervicala stanga avand raporturi atat cu craniul in regiunea occipitala, cat si cu capatul medial al claviculei.

Ecografia Doppler evidentiaza contactul intim dintre elementele vasculare (artera carotida si vena jugulara - zonele colorate) si tumora cervicala.
6 ore de concentrare maxima si migala
„Fiind o formatiune de mari dimensiuni am considerat ca sansele de reusita ale metodelor de tratament alternative (punctie aspirativa, sclerozare) sunt mici si am optat pentru tratamentul chirurgical. Operatia a fost una cu risc crescut, tumora fiind mare, intercalata printre elementele nervoase ale plexului cervical stang si in contact strans cu vasele principale ale gatului. Operatia a fost laborioasa. A fost necesara identificarea si separarea de formatiune a mai multor filete nervoase fragile (deja alungite prin simpla prezenta a tumorii) si disectia cu mare atentie de planul vascular (artera carotida si vena jugulara). A fost necesara disectia si individualizarea nervului occipital mic, auricular mare, cervical transvers, precum si a nervilor cranieni accesor si hipoglos. Capatul cel mai distal al formatiunii era in strans contact cu zona de confluenta a venei jugulare interne cu vena subclavie - doua vase de mari dimensiuni ale gatului, cu flux de sange semnificativ, dar cu perete destul de fragil (o caracteristica a venelor, in comparatie cu arterele care sunt mai rezistente si mai usor de disecat). Impreuna cu medicul anestezist, ne-am pregatit preoperator cu materiale hemostatice de ultima generatie, precum si cu rezerve de sange pentru transfuzii, in eventualitatea unui accident hemoragic. Din fericire, interventia a decurs fara astfel de incidente si la final am putut scoate cu multa rabdare si atentie, mai multe formatiuni chistice intregi. Cu totul, operatia a durat aproape 6 ore. 6 ore de concentrare maxima si migala” - a subliniat Dr. Dobritoiu provocarea chirurgicala in acest caz.
Operatia a fost un succes. Imediat dupa interventie, evolutia micutei paciente a fost foarte buna. Plaga a fost inchisa fara suturi vizibile, iar durerea a fost controlata prin infiltratii locale cu anestezic la finalul operatiei si medicatie antialgica. Drenajului local a fost suprimat rapid (la 48 de ore), pentru a favoriza o vindecare cat mai buna. Dupa 24 de ore fetita pleca acasa. Dupa un an si 3 luni, tumora nu a reaparut, iar cicatricea este discreta.
Surse de informatie:
A huge congenital cervical lymphangioma’ – Case report with review of literature www.sciencedirect.com
Hemolymphangioma of neck in a child www.jdrr.org
Management of Giant Cystic Lymphangioma in an Infant www.ncbi.nlm.nih.gov
Cervicofacial Lymphangiomas Treatment & Management www.emedicine.medscape.com
What Is Lymphangioma? www.healthline.com
Lymphatic Malformations www.rarediseases.org
Text: Dr. Ileana Andreescu, Senior Medical Content Writer