Contactează-ne!
Ai simptome care te supără? Solicită chiar acum un sfat medical specializat.
Echipa de chirurgie pediatrica din Ponderas Academic Hospital a intervenit minim invaziv si a rezolvat cu succes o situatie amenintatoare de viata pentru o adolescenta in varsta de 17 ani.
Adolescenta s-a prezentat in cadrul serviciului de garda al Ponderas Academic Hospital cu diagnosticul de apendicita acuta, stabilit intr-un serviciu medical din alta tara. Din punct de vedere al simptomelor, adolescenta prezenta durere abdominala atat in fosa iliaca dreapta si suprapubian, fara semne de afectare digestiva, dar cu mictiuni frecvente si urgente mictionale.
Medicii au evaluat cu promptitudine cazul medical, au efectuat investigatii si au stabilit diagnosticul de chist ovarian, infirmand alte cauze de abdomen acut chirurgical.
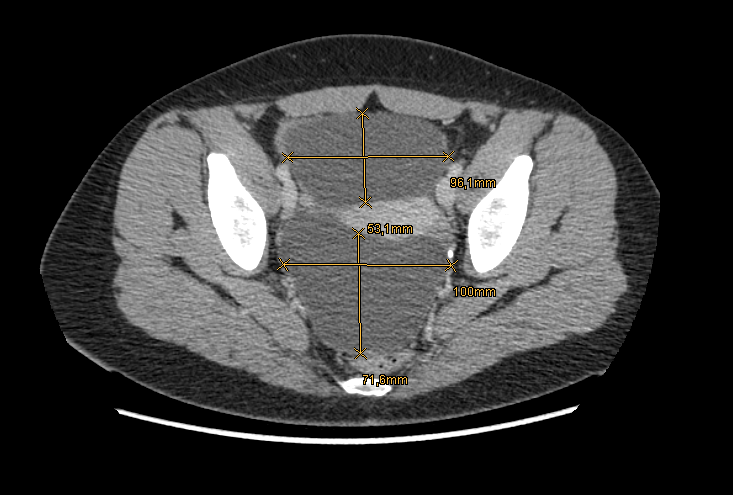
La efectuarea investigatiilor imagistice s-a evidentiat prezenta a doua formatiuni chistice ovariene de 11 cm si respectiv 14 cm. Se ia in considerare diagnosticul de chist ovarian atunci cand dimensiunea formatiunii este mai mare de 2 cm.
Chistul ovarian este o afectiune medicala caracterizata de acumularea de lichid la nivelul ovarului. Ovarul este organul care are doua functii principale:produce hormoni sexuali feminini, inclusiv estrogenul, care declanseaza menstruatia si au functie reproductiva, astfel in interiorul lor – in foliculii ovarieni - se formeaza ovocitele si se elibereaza ovulul in vederea fertilizarii. De obicei, chisturile ovariene se formeaza atunci cand ovulul nu este eliberat, sau cand foliculul ovarian persista dupa ce ovulul a fost eliberat. Chistul ovarian este o afectiune frecventa intalnita in randul femeilor, chiar si in perioada adolescentei. Uneori persoanele care au chisturi ovariene nu prezinta simptome si acestea se pot resorbi pe parcurusul ciclului menstrual, mai ales in cazul in care chisturile au dimensiuni reduse.
In situatia in care apar simptome acestea pot varia, nefiind specifice acestei afectiuni. Astfel, aparitia urmatoarelor simptome ar trebui sa alarmeze familia, deoarece exista riscul rupturii chistului si torsiunii ovariene:
- Durere abdominala brusca, severa
- Slabiciune, senzatie de lesin
In situatia in care tinerele paciente prezinta durere abdominala aparuta brusc, greata sau varsaturi se suspecteaza torsiunea ovariana.
Standardul de ingrijire a acestor cazuri cu potential de agravare este reprezentat de excizia chirurgicala completa a chistului, cu pastrarea functiei ovariene. In cazul adolescentei de 17 ani, s-a luat decizia de a se interveni minim invaziv, efectuandu-se o excizie a ambelor chisturi, interventie denumita chistectomie ovariana bilaterala laparoscopica.
Chist ovarian CT masurat longitudinal:
Chist ovarian CT masura transversal:
Postoperator evolutia a fost favorabila, nu s-au inregistrat complicatii, iar examenul histopatologic a confirmat diagnosticul de chist ovarian.
Doamna doctor Daniela Dobritoiu, medic specialist chirurgie pediatrica a explicat ca:
“In momentul in care este necesara interventia chirurgicala pentru afectiunea ovariana benigna la adolescente, prezervarea tesuturilor ovariene prin efectuarea chistectomiei este de preferat ovarectomiei. Ovarectomia este o optiune terapeutica in momentul in care ovarul nu mai poate fi salvat, sau daca, investigatiile preoperatorii sugereaza afectiuni care au caracter malign.
Chisturile ovariene care nu au potentialul de a se resorbi, cele care prezinta simptome de severitate, asa cum a fost cazul adolescentei pentru care am intervenit, au indicatie de interventie chirurgicala. Interventia laparoscopica are cel mai scazut grad de invazivitate si este procedura de electie in cazul adolescentelor. In acest caz prognosticul este excelent. “
In mod traditional, pastrarea functiei ovariene nu era o prioritate, dar studiile au demonstrat ca si in situatia femeilor ajunse in perioada menopauzei, pastrarea functiei ovariene le ofera acestora un avantaj in supravietuire. In cazul tinerelor, pastrarea functiei ovariene le ofera acestora posibilitatea de a putea sa aiba copii in viitor.
In cazul adolescentelor care prezinta simptome severe sau in cazul carora tratamentul medical a esuat, interventia laparoscopica si conservarea functiei ovariene reprezinta modalitatea ideala de tratament a chisturilor ovariene, deoarece acest tip de interventii permit recuperarea rapida si continuarea dezvoltarii din perioada pubertatii, cu pastrarea functiei reproductive.
In Ponderas Academic Hospital echipa de chirurgie pediatrica este dedicata in totalitate bunastarii, sigurantei si asigurarii celei mai bune stari de sanatate copiiilor de toate varstele, de la bebelusi, pana la adolescenti.
Grija pentru copii se rasfrange in alegerea ceor mai potrivite metode de diagnostic si personalizarea tratamentului la nevoile micilor pacienti.
In Ponderas Academic Hospital echipa de chirurgie pediatrica este dedicata in totalitate bunastarii, sigurantei si asigurarii celei mai bune stari de sanatate copiilor de toate varstele, de la bebelusi pana la adolescenti.

