Printr-o astfel de experienta a trecut George, in varsta de 48 de ani, diagnosticat cu cancer renal. Alaturi de el a fost medicul chirurg urolog din Ponderas Academic Hospital, care, cu ajutorul chirurgiei robotice, a reusit sa elimine in totalitate, dar exclusiv, o masa tumorala carcinomatoasa, salvand rinichiul si functia acestuia.
Contactează-ne!
Ai simptome care te supără? Solicită chiar acum un sfat medical specializat.
Cancerul renal
Mai frecvent la barbati dupa varsta de 40 de ani, carcinomul renal nu are cauze foarte clare. Consumul de analgezice, fumatul, obezitatea si hipertensiunea arteriala netratata pot reprezenta factori de risc. La acestea se adauga ca posibila cauza o activitate desfasurata in mediu toxic.
Terapia cancerului renal impune aproape mereu, alaturi de tratamentele adecvate, indepartarea formatiunii tumorale in siguranta, adica avand margini chirurgicale negative, ceea ce in chirurgia clasica insemna extirparea rinichiului afectat si a lanturilor ganglionare de vecinatate si rareori exclusiv a masei tumorale.
Cea mai performanta abordare este chirurgia robotica, care isi dovedeste o utilitate speciala in cazul afectiunilor de natura urologica, maligna sau benigna. Folosit de un chirurg urolog experimentat, robotul daVinci Xi permite efectuarea chirurgiei „nephron sparing”, adica excizia in totalitate a tumorii si nefrectomia partiala, operatie prin care se indeparteaza tumora, in limitele de siguranta oncologica, fara a realiza o nefrectomie totala, astfel ca rinichiul ramane intreg. Abordul robotic maximizeaza sansa pacientului de conservare post-operatorie a functiei renale. Procedura, desi ideala, depinde de pozitia formatiunii tumorale. Uneori structura maligna se poate dezvolta in zone „imposibile”, astfel ca singura solutie ramane extirparea intregului rinichi sau sa ai alaturi un medic cu abilitati exceptionale, care face performanta.
„Eu fac analize de doua ori pe an”
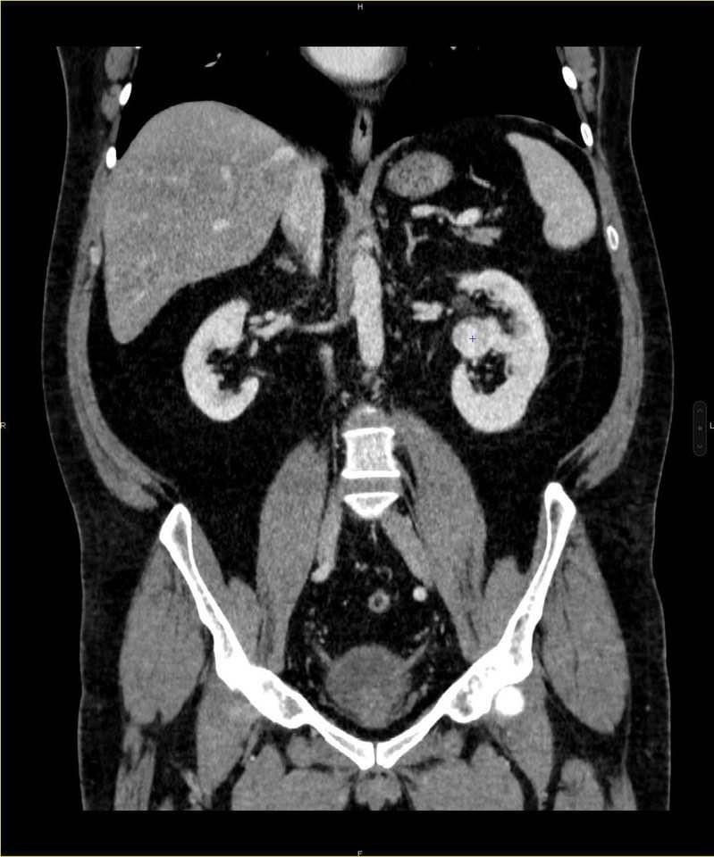
„Am cultura preventiei si cred ca este cea mai corecta abordare, cel putin in cazul meu. Am o serie de afectiuni pe care le controlez si le gestionez, dar si fara aceste probleme la fel as face. Asa am depistat si cancerul renal, facand un test PSA pentru prostata. Rezultatul a fost unul care ridica semne de intrebare asa ca am urmat procedura: am facut RMN, apoi un CT renal, pentru ca acolo parea sa fie ceva si-au gasit acea tumora renala. S-a stabilit ca este un cancer renal cu celule renale in stadiul I”, povesteste George, cu dezinvoltura omului care a trecut prin suferinta si a fost eliberat.
Ca de fiecare data, identificarea precoce a afectiunii ofera mari sanse de vindecare, dar simptomatologia maligna renala este relativ difuza. Statistica medicala arata ca testele PSA care au ca scop monitorizarea sanatatii prostatei functioneaza ca veritabile avertizoare si pentru alte suferinte ale aparatului urinar masculin, ceea ce s-a intamplat si in acest caz, astfel ca maladia a fost depistata in faza incipienta.
„Eu sunt un tip dur. Pentru mine o problema e ceva ce trebuie rezolvat. Asa ca, după diagnostic, m-am apucat sa caut rapid o solutie. Nu avea sens sa stau sa ma vait. Din momentul în care am stiut care este problema si pana am urcat pe masa de operatie au trecut fix patru saptamani. Am ales din prima Ponderas Academic Hospital si cred ca am luat una dintre cele mai bune decizii din viata mea”, povesteste mai departe pacientul.
Robotul daVinci Xi si implicarea medicului
„Beneficiul adus de robot este acela de a trece de la maxima interventie posibila, adica scoaterea rinichiului, la o minima chirurgie eficace, adica scoaterea masei tumorale cu o metoda minim invaziva si pastrarea rinichiului in care se afla tumora”, explica medicul chirurg urolog.
„Cazul despre care vorbim a fost unul dificil. Chiar foarte dificil ca urmare a pozitiei in care s-a dezvoltat formatiunea maligna, respectiv in centrul rinichiului, cu o varianta vasculara cu trifurcarea arterei care cuprinde nodul tumoral, ca si cum ar fi fost intr-o colivie. Dar scopul meu a fost de la bun inceput acela de a salva integritatea renala, iar pentru pentru a o realiza efectuat o tumorectomie (scoaterea exclusiv a tumorii)”, explica medicul chirurg.
O relatie de incredere
Intre pacient si medic s-a stabilit o relatie de incredere solida, bazata pe comunicare deschisa si sincera. George a primit toate informatiile de care a avut nevoie pentru a lua decizia corecta, informata si responsabila a celui mai bun abord terapeutic si o rezolvare completa a suferintei sale.
„Am acceptat din primul moment varianta chirurgicala propusa de domnul doctor, respectiv interventia robotica. O dovada ca am avut incredere deplina in deciziile pe care le-a luat pentru mine este, pe de o parte, faptul ca am fost de acord cu solutia robotica - pentru ca am inteles exact ce beneficii majore are pentru cazul meu si ca se urmareste pastrarea rinichiului, pe de alta pentru ca am stiut ca in functie de modul in care va evolua operatia, daca tumora nu poate fi scoasa, se poate lua in calcul si nefrectomia rinichiului stang. Dar am avut deplina convingere ca va fi bine si ca medicul va reusi. Si bine am facut!” povesteste George.
Dificultatea afectiunii si tratamentul chirurgicală
Interventia a fost realizata de o echipa coordonata de medicul chirurg urolog, secondat de doctorul urolog George Tie. Operatia a durat sase ore, iartumora a fost extrasa intr-un interval de 45 de minute, timp in care circulatia sangvina renala a fost oprita (interventia se face fara clamparea vaselor si implicit fara ischemie indusa).
Masele renale sunt clasificate in functie de pozitia, dimensiunea tumorii si riscul asociat, cele mai utilizate scoruri fiind Padua Score si R.E.N.A.L. Score. Acestea sunt proportionale cu riscul de a se produce complicatii in timpul interventiei, deci dificultatea procedurii chirurgicale. Mai mult decat atat, verificarea acestor complicatii in timpul operatiei de extirpare a masei tumorale poate determina chiar si necesitatea schimbarii strategiei chirurgicale, adica nefrectomia.
„A existat un scor al interventiei. Am luat in calcul ca pot sa apara evenimente care sa impuna sacrificarea rinichiului. Aceasta interventie a avut scorul de risc 14, valoarea maxima fiind 16. Un scor inalt e asociat cu complicatii mai multe, fie pentru ca pozitia tumorii este greu abordabila, fie pentru ca masa este mare, cu un diametru de peste 4 cm, fie pentru ca vascularizarea este de asa natura ca poate produce leziuni vasculare in timpul disectiei. O masa tumorala mare poate produce daune in zonele imediat limitrofe. Toate situatiile posibile sunt cuantificate in acest scor”, explica dr. urolog, care a adaugat: „Tehnica chirurgicala utilizata in aceasta interventie, excizie fara clamparea arterei renale, a fost una de performanta, pentru ca scopul a fost acela ca pacientul sa-si pastreze ambii rinichi functionali, iar in aceste conditii interventia capata o semnificatie majora, mai ales in lupta intre maxima chirurgie suportata si cea minim eficace!”
Operatia a decurs fara niciun fel de incidente, nu au existat complicatii, iar recuperarea pacientului a fost rapida. „Acum ma simt foarte bine. Nu au existat niciun fel de dificultati post operatorii, mi-am reluat activitatea. Am sase incizii de un centimetru, vindecate complet. Voi urma un protocol stabilit pentru astfel de cazuri, cu verificari periodice. Dar sunt optimist si foarte recunoscator medicilor. Am fost tratat la cel mai inalt nivel, iar conditiile, tehnica si mediul din spital rivalizeaza cu orice spital din strainatate si spun asta pentru ca am vazut spitalele de afara”, a mai adaugat pacientul.
Ponderas Academic Hospital are si o acreditare internationala pentru Centrul de Excelenta in Chirurgia Robotica, fiind primul Centru de Chirurgie Robotica cu recunoastere internationala din Romania.
Utilizarea robotilor medicali se bucura de un interes crescut pentru multiple specialitati chirurgicale. Pot fi tratate robotic atat afectiuni benigne (hernii, eventratii, fibromatoza uterina), cat si afectiuni maligne (tumori mediastinale, esofagiene, pulmonare, pancreatice, colorectale, ginecologice, urologice).
Treptat, abordul robotic a devenit prima indicatie in tratamentul a numeroase patologii.
