Contactează-ne!
Ai simptome care te supără? Solicită chiar acum un sfat medical specializat.
Ecoendoscopia este o metoda diagnostica extrem de valoroasa care ajuta medicul sa stabileasca rapid si precis care sunt cauzele unor simptome si semne clinice pe care le poate prezenta pacientul.
Prof. Univ. Dr. Adrian Saftoiu, unul dintre cei mai experimentati medici din cadrul Ponderas Academic Hospital si al Policlinicii Centrale Craiova, specializat in proceduri endocopice diagnostice si terapeutice avansate in domeniul gastroenterologiei prezinta tehnica ecoendoscopiei si rolul acesteia in diagnosticarea afectiunilor sistemului digestiv.
Ce este ecoendoscopia (endoscopia ultrasonografica)?
Endoscopia este o procedura minim invaziva prin care medicul poate vizualiza si explora direct sistemul digestiv al pacientului cu ajutorul unui aparat special (endoscop), care are forma unui tub flexibil la capatul caruia se afla o sursa de lumina si o camera video miniaturizata.
In functie de partea sistemului digestiv care trebuie sa fie explorata, procedura se poate realiza fie prin cavitatea bucala (endoscopie digestiva superioara), fie prin rect (endoscopie digestiva inferioara).
Ecoendoscopia (endoscopia ultrasonografica) este o extensie complexa a tehnicii endoscopice. Echipamentul medical utilizat pentru ecoendoscopie este un sistem ingenios care imbina proprietatile unui endoscop cu proprietatile unui ecograf deoarece are in plus un transductor ultrasonografic plasat in varful endoscopului.
Datorita asocierii acestor componente, medicul poate obtine imagini si informatii despre tractul digestiv (esofag, stomac, duoden, colon si rect), dar si despre organele invecinate care nu ar putea fi vizualizate in mod normal utilizand o endoscopie clasica (pancreas, cai biliare, mediastin, glande suprarenale, etc). In sfera digestiva, ecoendoscopia reprezinta o modalitate de diagnostic de inalta performanta oferind informatii care au rolul de a completa rezultate obtinute cu ajutorul altor explorari imagistice, cum ar fi tomografia computerizata (CT) sau rezonanta magnetica (RM).
Care este avantajul major al ecoendoscopiei?
Superioritatea ecoendoscopiei in comparatie cu alte proceduri diagnostice este reprezentata de posibilitatea de a obtine in acelasi timp atat imagini de inalta rezolutie a leziunilor, cat si probe de tesut utile pentru confirmarea diagnosticului prin examen anatomopatologic (citologic si microhistologic). Acest lucru este posibil pentru ca echipamentul permite efectuarea unei punctii fine aspirative bioptice (ghidarea unui ac extrem de fin catre leziunile vizualizate – tumori, noduli limfatici - cu extragerea de celule / tesut pentru analiza).
Ecoendoscopia este o procedura minim-invaziva, care are avantajul de a se efectua cu sedare profunda (sub supravegherea medicului anestezist), crescand astfel calitatea examinarilor si siguranta pacientilor.
De ce se face ecoendoscopie? Care sunt afectiunile medicale pentru care ecoendoscopia este indicata?
Ecoendoscopia este un procedeu de diagnostic extrem de valoros care ajuta medicul sa stabileasca rapid si precis care sunt cauzele unor simptome si semne clinice pe care le poate prezenta pacientul. Astfel, ecoendoscopia este utila pentru stabilirea diagosticului pentru urmatoarele tipuri de afectiuni:
- Cancere digestive (esofag, stomac, duoden, rect, respectiv pancreas si cai biliare). Ecoendoscopia poate determina cu acuratete cat de mult a invadat tumora peretele digestiv sau organele invecinate, respectiv afectarea vasculara, ceea ce stabileste posibilitatea de rezectie chirurgicala a tumorilor. Mai mult, examinand dimensiunea si forma ganglionilor din vecinatatea tumorii, se poate determina daca tumora este extinsa. Informatiile sunt utile pentru a stadializa cancerul, astfel incat optiunile terapeutice sa fie precis alese. In plus, se pot stadializa tumorile mediastinale, inclusiv cancerul pulmonar, in functie de statiile ganglionare din mediastin.
- Calculi (pietre) la nivel pancreatico-biliar. Datorita rezolutiei superioare, ecoendoscopia poate vizualiza calculi mici (pana la 2-3 mm) din calea biliara si colecist, modificari care la multi pacienti nu au fost detectate prin alte explorari imagistice de tipul colangiopancreatografiei prin rezonanta magnetica (MRCP).
- Pancreatita acuta si cronica. Ecoendoscopia permite clarificarea etiologiei pancreatitei acute, deoarece permite examinarea structurii pancreasului, dar si a caii biliare in portiunea terminala intrapancreatica. Pot fi astfel vizualizate modificari incipiente in structura pancreasului, calculi (pietre) in canalele pancreatice, calea biliara sau colecist, colectii peripancreatice determinate de inflamatie (colectii fluide acute, pseudochisturi, etc.) ceea ce ofera posibilitatea inceperii tratamentului cu obtinerea unor rezultate mai bune pentru pacient. Ecoendoscopia permite evaluarea stadiului unei pancreatite cronice, dar si identificarea complicatiilor din vecinatate (pseudochisturi, tromboze de vena porta sau splenica, etc.).
- Formatiuni solide si chistice pancreatice. Ecoendoscopia este principala modalitate de examinare folosita de medic pentru diagnosticul diferential al tumorilor solide, respectiv pentru a determina daca leziunile chistice sunt benigne, au potential cancerigen sau sunt transformate deja malign (cancer). Majoritatea pacientilor pot beneficia de tehnici imagistice avansate de tipul examinarilor cu substanta de contrast sau elastografiei ecoendoscopice, care permit stabilirea unei indicatii corecte de punctie fina aspirativa prin care se stabileste un diagnostic de certitudine anatomopatologic.
- Formatiuni mediastinale de etiologie incerta. Ecoendoscopia permite evaluarea transesofagiana a mediastinului (spatiul din centrul toracelui), respectiv a formatiunilor tumorale sau a ganglionilor din mediastin. Se pot de asemenea efectua punctii fine aspirative pentru un diagnostic de certitudine anatomopatologic si pentru stabilirea conduitei oncologice sau chirurgicale.
Ce se intampla daca ecoendoscopia identifica o leziune care necesita a fi biopsiata?
In timpul ecoendoscopiei, medicul poate detecta leziuni la nivelul pancreasului, cailor biliare, peretelui digestiv, respectiv tumori sau ganglioni din jurul peretelui tubului digestiv care necesita punctie (biopsie). Recoltarea de tesut poate fi efectuata chiar in acel moment, in timpul procedurii si cu sedare profunda (cand pacientul doarme).
Ecoendoscopul poate fi astfel utilizat pentru a punctiona sub ghidaj ecografic (in timp real) o zona de interes, folosind un ac subtire in vederea obtinerii de celule, care ulterior sunt analizate in laborator (punctie fin aspirativa). De asemenea, folosind aceeasi tehnica se poate obtine o proba de tesut (punctie fin bioptica). Rezultatele permit obtinerea diagnosticului de certitudine si stabilirea planului de tratament multidisciplinar (oncologic, chirurgical, etc.).
Aceasta tehnica poate fi utilizata si in scop terapeutic,ca prima etapa pentru drenajul abceselor sau al pseudochisturilor.
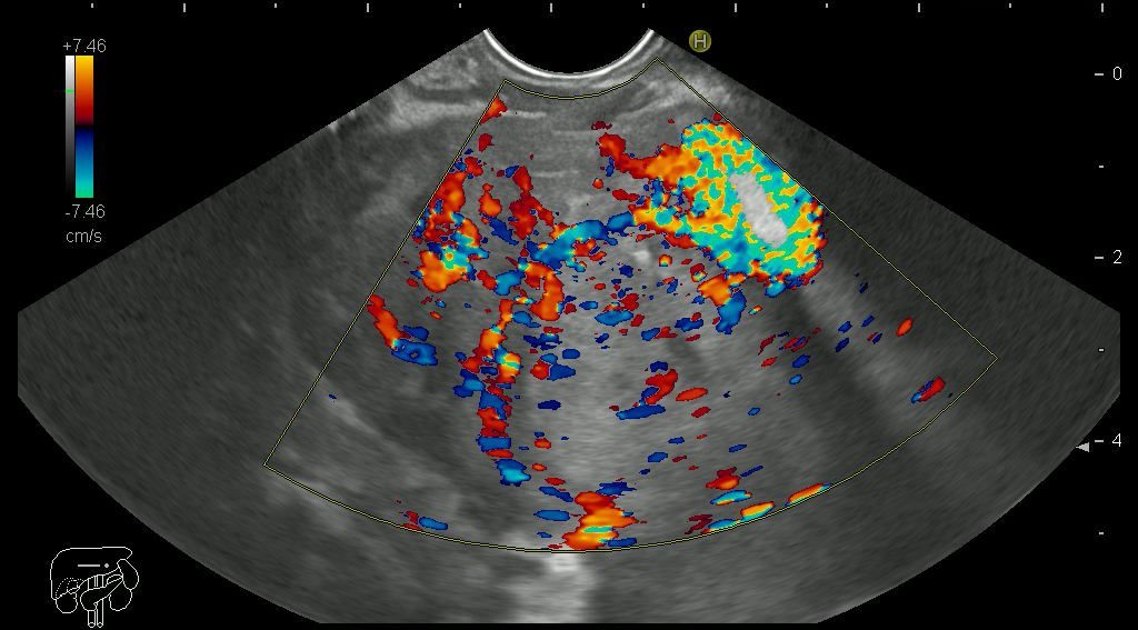
Ce informatii suplimentare aduc elastografia si evaluarea cu substanta de contrast realizate in timpul procedurii de ecoendoscopie?
Folosind unul dintre cele mai avansate echipamente de ecoendoscopie existente pe piata (un sistem de ecografie Hitachi-Aloka Premium End Class Arrieta V70 cuplat cu un sistem de endoscopie de inalta rezolutie Pentax Defina EPK-3000) cu software de contrast si elastografie inclus, medicii pot evalua complet si complex toate leziunilor tractului digestiv. Conform ghidurilor societatilor europene de ecografie (EFSUMB) si endoscopie (ESGE), evaluarea elastografica si cu substanta de contrast are avantajul de a creste calitatea ecoendoscopiei si acuratetea diagnosticului, in conditii depline de siguranta pentru pacient.
Elastografia estimeaza rigiditatea tesutului, putand astfel aprecia daca o leziune este benigna sau maligna in functie de gradul de rigiditate. Astfel, elastografia este utila pentru evaluarea formatiunilor (tumorilor) pancreatice sau ganglionilor, respectiv pentru stabilirea leziunilor cel mai probabil maligne care trebuie biopsiate pentru un diagnostic de certitudine. Metoda permite si urmarirea evolutiei post-tratament (dupa chimioterapie, ablatie cu radiofrecventa etc.).
Evaluarea cu substanta de contrast foloseste un agent de contrast specific ecografiei (SonoVue), care in comparatie cu alte substante de contrast folosite la alte explorari imagistice (CT sau RM) are risc foarte scazut de a dezvolta reactii alergice, fiind aprobat pentru utilizare la pacientii cu probleme renale sau la copii. Ecoendoscopia cu substanta de contrast urmareste incarcarea cu contrast (vascularizatia) a leziunii examinate. In functie de modul de incarcare medicul poate diferentia leziuni maligne (cancere) de cele benigne, fiind posibila stabilirea diagnosticului bolilor pancreatice si a cancerelor peretelui digestiv, respectiv stabilirea corecta a indicatiei de punctie fina aspirativa sau bioptica.
La ce trebuie sa se astepte pacientul inainte, in timpul si dupa procedura? Cum trebuie sa se pregateasca?
Pregatirea pentru ecoendoscopie incepe inaintea procedurii, pacientii nu trebuie sa manance cu minim 8 ore inainte de procedura.
Va trebui sa ajungeti la spital cu minim 1h inainte de ora programarii. Un asistent medical va va monta o branula (un tub subtire de plastic) intr-o vena periferica pentru adminstrarea sedarii si a unor solutii de hidratare.
Procedura dureaza in medie 30-60 minute, dupa care veti fi condus intr-un salon de refacere si veti ramane acolo minim 2-3 ore.
Este obligatoriu sa fiti supravegheat de catre un adult timp de 12 ore dupa procedura. Nu veti putea conduce autovehicule, sa lucrati, sa semnati acte cu implicare legala, sa consumati alcool sau medicatie sedativa timp de 24 de ore dupa procedura.
Care sunt riscurile procedurii ecoendoscopice?
Ca oricare alta procedura medicala, sunt cateva riscuri asociate ecoendoscopiei. Acestea apar foarte rar, dar este important ca pacientul sa le cunoasca pentru a-si da acordul informat. O buna comunicare medic-pacient si o pregatire corecta a pacientului inainte de efectuarea procedurii reduc riscurile. Potentialele riscuri sunt mai frecvente la pacientii cu afectiuni pre-existente cardiovasculare sau respiratorii si pot include:
Perforatia: Exista un risc extrem de mic ca pe parcursul procedurii sa se produca fisura/ruptura a peretelui tubului digestiv. Daca acest lucru se intampla, pacientul va necesita internare si tratament conservator sau posibil interventie chirurgicala.
Sangerare: Exista un risc extrem de mic de sangerare cand se efectueaza punctie fina aspirativa sau alte proceduri interventionale. Sangerarea este de obicei autolimitata, dar daca aceasta persista sau este excesiva, pacientul va necesita internare si reinterventie endoscopica.
Infectii: Riscul de infectii este foarte mic. Ecoendoscopul este dezinfectat conform ghidurilor europene foarte stricte, prin reprocesare automata. Toate celelalte accesorii sunt de unica folosinta. Exceptional, in timpul punctiei fine aspirative, in cazul drenajului unui pseudochist sau al unei colectii, bacteriile pot fi transferate din tubul digestiv prin intermediul acului (bacteriemie). Daca pacientul prezinta acest risc (de exemplu in cazul evaluarii leziunilor pancreatice chistice) va primi tratament antibiotic periprocedural.
Pancreatita acuta: Pancreasul produce enzime si hormoni care ajuta digestia, fiind situat in abdomen, langa stomac si fiind foarte sensibil la orice fel de injurie. In timpul punctiei fin aspirative a acestei zone este posibil sa se produca o iritatie a pancreasului, cauzand inflamatie, care de obicei este minora si auto-limitata, necesitand doar urmarire.
Proba inadecvata: In unele cazuri este posibil ca proba obtinuta prin punctie fina aspirativa sa nu fie adecvata pentru obtinerea unui diagnostic cert, necesitand de obicei repetarea punctiei.
Reactii adverse la medicatie: Pacientul va fi monitorizat cu atentie pentru depistarea oricarui semn de alergie. Sedarea poate compromite respiratia, motiv pentru care medicul anestezist va monitoriza indeaproape pacientul si va oferi suportul daca va fi necesar.
Aspiratia: Exista un risc extrem de scazut ca pacientul sedat sa inhaleze secretiile de la nivelul tubului digestiv ducand la infectie respiratorie. Aspiratia secretiilor in timpul procedurii si efectuarea procedurii la distanta de momentul ultimei mese luate de pacient reduce acest risc.
De ce ati recomanda alegerea Ponderas Academic Hospital sau Policlinica Centrala Craiova pentru efectuarea ecoendoscopiei?
La Ponderas Academic Hospital pacientul beneficiaza de unul dintre cele mai avansate echipamente de ecoendoscopie care se imbina perfect cu experienta internationala a echipei medicale condusa de Prof. Dr. Adrian Saftoiu.
Echipa medicala de gastroenterologie si endoscopie digestiva asigura tot spectrul de proceduri oncologice diagnostice si terapeutice disponibile actual la nivel national si international, fiind sustinuta de echipa chirurgicala condusa de Prof. Dr. Catalin Copaescu care asigura abordul combinat si hibrid al cazurilor complexe, inabordabile prin alte metode clasice.
Nu in ultimul rand, astfel de echipe multidisciplinare alcatuite din gastroenterologi, chirurgi, oncologi, imagisti, radioterapeuti, nutritionisti, psihologi, vin in ajutorul pacientilor oncologici pentru stabilirea diagnosticului cat mai rapid si precis, respectiv pentru initierea si monitorizarea tratamentului personalizat.
La Policlinica Centrala Craiova, in cadrul Centrului de gastroenterologie, hepatologie si endoscopie digestiva medicii au o vasta experienta recunoscuta la nivel international si utilizeaza cele mai noi proceduri si tehnici de investigatie pentru stabilirea cu precizie si rapiditate a diagnosticului. Pacientii beneficiaza de cele mai noi optiuni terapeutice individualizate.

