Contactează-ne!
Ai simptome care te supără? Solicită chiar acum un sfat medical specializat.
Ce este prognatismul și tipurile sale
Prognatismul reprezintă o nealiniere a maxilarelor, care are ca rezultat proeminența anormală a unuia dintre ele. Există două forme principale de prognatism:
- Prognatismul mandibular: în această situație, mandibula (maxilarul inferior) este poziționată mai în față comparativ cu maxilarul superior, oferind aspectul caracteristic de „bărbie proeminentă”.
- Prognatismul maxilar: aici, maxilarul superior iese în față față de mandibulă și restul fizionomiei, rezultând un aspect facial specific.
Ambele tipuri pot afecta semnificativ fizionomia, funcția masticatorie și, uneori, pot cauza probleme de vorbire sau de respirație. Intensitatea prognatismului variază de la forme ușoare, greu de observat, până la cazuri severe, care necesită o intervenție chirurgicală.
Cauzele prognatismului
Prognatismul este influențat de o varietate de factori, atât genetici, cât și dobândiți. Iată principalele cauze ale acestei afecțiuni:
- Factori genetici: prognatismul se poate transmite ereditar, de la părinți la copii. Caracteristicile faciale, inclusiv alinierea maxilarelor, au adesea o componentă ereditară importantă.
- Dezvoltarea anormală a oaselor feței: pe parcursul creșterii, maxilarele pot evolua disproporționat, favorizând apariția prognatismului mandibular sau maxilar.
- Afecțiuni endocrine: anumite afecțiuni, cum ar fi acromegalia (producție excesivă de hormon de creștere), pot provoca dezvoltarea exagerată a mandibulei.
- Sindroame genetice: prognatismul poate fi asociat cu anumite sindroame, precum sindromul Down sau sindromul Crouzon.
- Traumatisme faciale: leziunile maxilare survenite în perioada de creștere pot afecta dezvoltarea normală a acestora.
- Obiceiuri orale: sugerea prelungită a degetului sau utilizarea îndelungată a suzetei pot influența modul în care cresc maxilarele.
Identificarea cu exactitate a cauzei este esențială pentru a stabili cel mai adecvat plan de tratament. Adesea, o combinație de factori poate contribui la apariția acestei afecțiuni. Află mai multe despre ce este malocluzia si impactul sau asupra sanatatii orale și vei înțelege de ce este atât de important ca vizitele periodice la medicul stomatolog să înceapă încă din copilăria mică.
Simptome și semne ale prognatismului
Prognatismul se manifestă printr-o serie de semne și simptome specifice, care variază în funcție de tipul și severitatea afecțiunii:
- Maxilar proeminent: în prognatismul maxilar, maxilarul superior iese în față față de restul feței, creând un aspect caracteristic.
- Bărbie retrasă: în retrognatismul mandibular, mandibula pare poziționată înapoi, iar bărbia nu se aliniază corect cu restul feței.
- Dificultăți la mușcare și mestecare: nealinierea corectă a maxilarelor poate genera probleme în timpul alimentației.
- Tulburări de vorbire: poziția anormală a maxilarelor poate afecta articularea cuvintelor și claritatea vorbirii.
- Aspect facial dezechilibrat: prognatismul poate modifica profilul facial, creând aparența unei „fețe lungi” sau asimetrice.
- Respirație orală: uneori, pacienții pot începe să respire pe gură din cauza poziției incorecte a maxilarelor.
Alte semne posibile:
- Uzură dentară inegală, cauzată de o ocluzie incorectă;
- Dureri în zona articulației temporomandibulare;
- Probleme de respirație, mai ales în timpul somnului;
- Dificultate în a închide complet buzele.
Gravitatea simptomelor poate varia semnificativ. Persoanele cu forme ușoare pot avea doar modificări estetice minore, în timp ce cazurile severe pot influența semnificativ funcționalitatea și calitatea vieții.
Identificarea acestor simptome este un prim pas important, dar pentru un diagnostic precis, este necesară o evaluare profesională. Fa o programare in clinicile Regina Maria Dental Clinics, pentru a beneficia de o evaluare completă din partea unui specialist cu experiență.
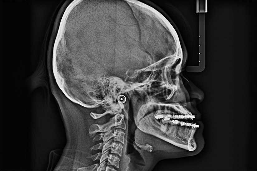
Diagnosticarea prognatismului
Diagnosticarea corectă a prognatismului presupune o evaluare amănunțită efectuată de un ortodont sau chirurg maxilo-facial. Procesul include mai multe etape importante:
- Examinarea clinică: medicul dentist va evalua vizual alinierea maxilarelor și a dinților, căutând asimetrii faciale sau probleme de ocluzie. De asemenea, va examina profilul facial și modul în care se raportează maxilarele în timpul mișcărilor mandibulei.
- Istoricul medical: medicul va colecta informații despre antecedentele familiale, eventuale traumatisme faciale sau obiceiuri orale care ar fi putut afecta dezvoltarea maxilarelor.
- Imagistică: radiografiile, mai ales cele cefalometrice, sunt esențiale pentru a evalua structura osoasă și relațiile dintre maxilare. Tomografia computerizată poate oferi imagini 3D detaliate ale structurilor cranio-faciale.
- Analiza ocluziei: se analizează modul în care se întâlnesc arcadele dentare, identificând eventuale probleme de aliniere sau retrognatism mandibular.
- Măsurători cefalometrice: acestea permit cuantificarea exactă a diferențelor dintre maxilare și evaluarea severității prognatismului mandibular sau maxilar.
În cazul prognatismului la copii, un diagnostic timpuriu este extrem de important, deoarece permite intervenția în timpul creșterii, cu rezultate mai bune. La adulți, evaluarea va ține cont și de impactul funcțional și estetic al anomaliei.
După stabilirea diagnosticului, specialistul va crea un plan de tratament personalizat, care poate include intervenții ortodontice, chirurgicale sau o combinație a acestora, în funcție de severitatea și tipul de prognatism.
Opțiuni de tratament pentru prognatism
Tratamentul prognatismului se adaptează în funcție de tipul și gravitatea afecțiunii. Există diverse opțiuni terapeutice pentru corectarea acestei anomalii:
Tratamentul ortodontic
În formele ușoare și moderate, tratamentul ortodontic este prima opțiune. Acesta presupune:
- Utilizarea aparatelor dentare fixe sau mobile, pentru a corecta poziția dinților și a ghida creșterea maxilarelor.
- Durata tratamentului poate varia între 18 și 36 de luni, în funcție de complexitatea cazului.
- Este eficient mai ales la pacienții tineri, aflați în perioada de creștere osoasă.
Perspectiva unui tratament ortodontic poate stârni emoții și îngrijorare. Informeaza-te despre tipurile de aparate dentare si indicatiile fiecaruia dintre ele și pregătește o listă detaliată de întrebări pentru medicul tău!
Intervenția chirurgicală
În cazurile severe de prognatism mandibular sau maxilar, chirurgia ortognatică este soluția optimă. Aceasta implică:
- Repoziționarea chirurgicală a maxilarelor, pentru a restabili relațiile normale dintre structurile faciale.
- Se realizează sub anestezie generală și necesită o perioadă de recuperare de 6-12 săptămâni.
- Poate include osteotomie maxilară, mandibulară sau bimaxilară, în funcție de tipul de prognatism.
Abordarea combinată
În majoritatea situațiilor, se recomandă o combinație de tratament ortodontic și chirurgical:
- Tratamentul ortodontic pregătește arcadele dentare pentru intervenție.
- Chirurgia ortognatică corectează poziția oaselor maxilare.
- Tratamentul ortodontic post-chirurgical stabilizează rezultatul și aliniază complet dinții.
Terapii complementare
Pentru rezultate mai bune, pot fi recomandate și alte terapii:
- Terapie miofuncțională, pentru a corecta obiceiurile musculare orale.
- Tratamente non-invazive de remodelare facială.
- Intervenții de chirurgie plastică, pentru a îmbunătăți aspectul estetic.
Alegerea tratamentului potrivit se face în urma unei evaluări complete de către o echipă multidisciplinară (ortodont, chirurg maxilo-facial și alți specialiști). Scopul principal este de a restabili funcționalitatea corectă a aparatului masticator și de a îmbunătăți aspectul feței.
Prevenirea și managementul prognatismului
Prevenirea și gestionarea eficientă a prognatismului necesită o abordare complexă și personalizată. Deși, în multe cazuri, afecțiunea are o componentă genetică importantă, există strategii care pot contribui la prevenirea agravării sau la gestionarea simptomelor:
Intervenție timpurie
Identificarea și tratarea precoce, mai ales la copii, poate oferi rezultate mai bune pe termen lung. Se recomandă evaluarea ortodontică regulată, începând cu vârsta de 7 ani, când se pot observa primele semne ale dezvoltării anormale a maxilarelor.
Terapie miofuncțională
Exercițiile specifice pentru mușchii feței și ai limbii pot ajuta la corectarea obiceiurilor orale dăunătoare, la îmbunătățirea funcției musculare și la reducerea impactului prognatismului asupra funcționalității orale.
Monitorizare și ajustare continuă
Pentru pacienții cu prognatism sau retrognatism mandibular, este important să se monitorizeze regulat evoluția afecțiunii și să se ajusteze planul de tratament, în funcție de schimbările constatate.
Menținerea igienei orale
O igienă orală riguroasă este esențială pentru a preveni complicațiile asociate, cum ar fi cariile dentare sau bolile parodontale, care pot agrava problema existentă.
Evitarea traumatismelor
Protejarea feței și a maxilarelor de lovituri sau traumatisme, mai ales în timpul sportului, poate preveni agravarea sau apariția complicațiilor.
Managementul post-tratament
După corectarea chirurgicală, este esențial să se respecte cu strictețe recomandările medicului, pentru a menține rezultatele obținute și a preveni reapariția problemei.
Abordarea multidisciplinară
Gestionarea eficientă implică adesea colaborarea între mai mulți specialiști (ortodonți, chirurgi maxilo-faciali, logopezi și fizioterapeuți), pentru a asigura o îngrijire completă și personalizată.
Prin aplicarea acestor strategii și printr-o abordare proactivă, pacienții pot beneficia de o îmbunătățire semnificativă a calității vieții și pot preveni complicațiile pe termen lung asociate acestei afecțiuni.
Întrebări frecvente despre prognatism
Prognatismul este un subiect de discuție care ridică numeroase întrebări în rândul pacienților. Vom încerca să răspundem la câteva dintre cele mai frecvente.
Prognatismul mandibular este întotdeauna vizibil la copii? Dar la adulți?
Nu întotdeauna. La copii, prognatismul mandibular poate fi subtil în stadiile incipiente și devine mai evident odată cu dezvoltarea maxilarelor și erupția dinților permanenți. Uneori, poate fi observat devreme dacă există un dezechilibru major între maxilar și mandibulă. Un diagnostic corect necesită evaluare ortodontică, deoarece factorii genetici și creșterea osoasă influențează evoluția.
La adulți, prognatismul mandibular este de obicei mai vizibil, deoarece dezvoltarea osoasă este completă. Aspectul mandibulei proeminente poate afecta estetica facială, mușcătura și vorbirea. Deoarece nu mai există potențial de corecție prin creștere, tratamentul este mai complex și poate necesita ortodonție combinată cu chirurgie ortognatică pentru rezultate funcționale și estetice optime.
Ce este retrognatismul mandibular?
Retrognatismul mandibular este opusul prognatismului și descrie o mandibulă situată prea în spate față de maxilarul superior. Aceasta poate crea un aspect de bărbie „retrasă” și poate afecta mușcătura, vorbirea sau respirația. De obicei, este de natură genetică și poate necesita tratament ortodontic și, uneori, intervenție chirurgicală pentru corectarea alinierii faciale și a funcției.
Care dintre tipuri are un impact mai pronunțat, prognatismul maxilar sau mandibular?
Prognatismul mandibular tinde să aibă un impact mai pronunțat, atât estetic, cât și funcțional, deoarece afectează conturul feței și poziția dinților inferiori. Poate duce la mușcătură inversă, dificultăți de masticație și vorbire. Prognatismul maxilar este adesea mai ușor de corectat și mai puțin vizibil, dar severitatea fiecărui caz depinde de gradul de dezechilibru dento-maxilar.
Un maxilar proeminent indică întotdeauna o formă de prognatism?
Nu neapărat. Un maxilar superior sau inferior poate părea proeminent din cauza proporțiilor faciale sau poziției celuilalt maxilar. Uneori, aspectul proeminent este doar o trăsătură estetică și nu indică neapărat o anomalie de tip prognatism. Doar un specialist poate stabili, prin evaluare clinică și imagistică, dacă este vorba de un dezechilibru dento-scheletal real.
De ce să alegi Regina Maria Dental Clinics?
Iată câteva motive importante pentru care Regina Maria Dental Clinics este cea mai bună soluție de îngrijire orală pentru tine:
Calitate superioară în îngrijirea orală
La Regina Maria Dental Clinics, considerăm că fiecare pacient merită cea mai bună îngrijire. De aceea, punem la dispoziție o echipă multidisciplinară de medici stomatologi, cu o vastă experiență, capabili să abordeze cazuri complexe și să ofere soluții adaptate fiecărei situații. Ne bazăm expertiza pe un proces continuu de formare și actualizare profesională, pentru a integra cele mai recente tehnici și cunoștințe în practica noastră zilnică.
Tehnologie avansată pentru tratamente precise
Utilizăm echipamente de ultimă generație, pentru a asigura intervenții eficiente, minim invazive și personalizate. Microscopul dentar, scannerul intraoral, radiografia digitală și instrumentele digitale de planificare ne ajută să oferim pacienților tratamente sigure și de înaltă precizie. Investim constant în inovație, pentru ca fiecare vizită să fie cât mai confortabilă și eficientă.
Îngrijire personalizată, centrată pe pacient
Fiecare pacient este unic, iar la noi acest lucru contează. De la copii la seniori, fiecare beneficiază de un plan de tratament adaptat nevoilor medicale, dorințelor estetice și stilului de viață propriu. Respectul și grija pentru fiecare persoană stau la baza relației noastre cu pacienții.
Confort, siguranță și încredere
Ne dorim ca experiența la stomatolog să fie una pozitivă și lipsită de anxietate. De aceea, acordăm o atenție specială atât confortului fizic, cât și celui emoțional, pe tot parcursul tratamentului. Fiecare detaliu este gândit pentru a oferi o atmosferă predictibilă și liniștitoare.
Accesibilitate și flexibilitate
Cu o rețea de peste 20 de clinici în toată țara și opțiuni flexibile de programare, inclusiv online sau prin abonamente, îți oferim libertatea de a alege când și unde să beneficiezi de tratamente, fără complicații sau pierdere de timp.
Prevenție și control pe termen lung
Pentru noi, prevenția este esențială. Abonamentele Dental Care Premium și Junior acoperă integral sau parțial serviciile stomatologice de bază, oferindu-ți siguranța unui plan clar de îngrijire, fără costuri neprevăzute. Astfel, poți avea grijă de sănătatea ta orală fără stres financiar.
Îngrijire pentru întreaga familie
Clinica noastră este deschisă tuturor – de la cei mai mici pacienți, până la cei mai în vârstă. Oferim tratamente adaptate vârstei și nevoilor fiecăruia, într-un sistem medical integrat, care asigură continuitatea îngrijirii și suportul necesar pe termen lung pentru toată familia.
Înțelegerea definiției prognatismului este doar începutul. Pentru a gestiona eficient această afecțiune, este important să acționezi prompt și informat. Consultă un ortodont sau chirurg maxilo-facial pentru o evaluare detaliată și un plan de tratament personalizat. Nu amâna vizita la specialist, deoarece intervenția timpurie poate duce la rezultate mai bune și poate preveni complicații pe termen lung. Adoptarea unei abordări proactive și colaborarea cu o echipă medicală specializată te vor ajuta să obții o îmbunătățire semnificativă a funcției masticatorii și a esteticii faciale.
Disclaimer: Informațiile din acest material nu înlocuiesc consultul medical sau recomandările specialistului.
