Descoperă, în articolul următor, care sunt cauzele, tratamentul, dar și metodele de prevenție ale retracției gingivale.
Contactează-ne!
Ai simptome care te supără? Solicită chiar acum un sfat medical specializat.
Ce este o retracție gingivală (retragerea gingiilor)?
Retracția gingivală este o afecțiune orală des întâlnită la pacienții care vin în clinica dentară. Această problemă de la nivelul gingiilor apare indiferent de vârstă sau sex. Trebuie reținut faptul că, dacă nu se intervine la timp, țesutul de susținere a dinților și osul alveolar pot fi grav afectate și asta poate conduce la pierderea dinților.
Gingia desprinsă de dinte creează un loc favorabil multiplicării bacteriene și apariției cariilor de colet.
Cauzele pentru care se retrag gingiile
Retracția gingivală poate avea mai multe cauze. Putem vorbi, în cazul în care gingia se retrage de pe dinte, despre un periaj agresiv, care rănește gingia, despre boala parodontală, care reprezintă o inflamație a gingiei, sau despre infecțiile gingivale.
De asemenea, retracția gingivală poate să apară și în urma bruxismului, adică în urma scrâșnirii dinților în timpul somnului și în urma igienei orale incorect realizate. Factorii de risc pentru apariția retracției gingivale sunt reprezentați de obiceiurile nesănătoase, precum fumatul.
O altă cauză a retragerii gingiilor poate fi și poziția incorectă a oaselor maxilare, care duc la niște forțe care se transmit către dinți sau în anumite grupuri de dinți.
Factori de risc pentru gingii retrase
Factorii de risc ai retracției gingivale pot fi reprezentați de obturații sau lucrări vechi incorect adaptate. De asemenea, alți factori de risc pentru gingiile retrase sunt malpozițiile dentare, deoarece atunci când dinții au o poziție incorectă, forțele aplicate asupra acestora nu se transmit în mod normal, iar atunci când există o presiune mult prea mare asupra dinților, poate apărea retragerea gingiei.
Frenul labial, reprezentat de o fâşie de țesut muscular (o membrană) care se află între buză şi gingie, în unele cazuri poate reprezenta un factor de risc pentru retragerea gingiei. Afecțiunile gingivale se pot agrava în timp, în special odată cu înaintarea în vârstă, mai ales dacă pe parcursul vieții igiena orală nu a fost una adecvată.

Simptomele retracției gingivale
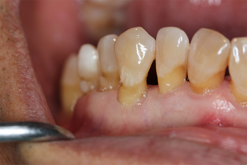
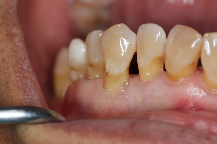
În cazul unei retracții gingivale, poți observa cu ochiul liber că un dinte pare mai lung, fie din cauza gingiei căzute, fie pentru că nivelul gingiei s-a ridicat, dezvelind din rădăcina dintelui. La atingere, vei simți o adâncitură mică între gingie și dinte.
Pe lângă aspectele ce țin de estetica zâmbetului, te mai poți confrunta cu sensibilitate dentară la consumul de alimente sau băuturi reci, calde ori dulci și durere. Dacă ai oricare dintre aceste simptome, este extrem de important să mergi cât mai repede la medicul stomatolog.
Cavitatea orală poate ascunde o patologie diversă, cu potențial impact asupra sănătății generale. Afla cand apare durerea gingivala , ce probleme indică și cum poate fi tratată!
Când trebuie să mergi la medic pentru retragere gingivală?
Atunci când observi că linia gingiilor este retrasă, este important să te prezinți cu prioritate la medicul stomatolog. În cadrul unui consult de specialitate, vei primi toate informațiile necesare cu privire la planul de tratament potrivit pentru tine. Cea mai bună modalitate de a stopa evoluția retracției gingivale și agravarea problemei este să începi cât mai curând tratamentul prescris de către medic.
Ce investigații se fac în cazul în care ți s-a retras gingia?
„În cazul în care pacientul se prezintă cu retragere gingivală, pentru a putea stabili un diagnostic corect, este nevoie de evaluarea clinică a danturii, realizarea unei parodontometrii, asta înseamnă măsurători realizate la fiecare dinte în parte, pentru a vedea nivelul retracției gingivale, dar și nivelul resorbției osoase. De asemenea, tot în cadrul parodontometriei putem observa gradul de sângerare pe care gingia îl are. Nu în cele din urmă și foarte important, medicul stomatolog va analiza și radiografia dentară a pacientului”, ne explică Dr. Andra Călin, medic stomatolog, specialist parodontolog.

Tratament recomandat de medic pentru retracția gingivală
În funcție de cauza retracției gingivale, tratamentele poate fi multiple. Dacă vorbim despre o retracție gingivală, ca urmare a unei resorbții osoase, provocată de boala parodontală, atunci este propus tratamentul de bază al parodontozei. Pentru situațiile mai complexe, se poate vorbi și despre o procedură chirurgicală, care este complet nedureroasă și se realizează cu anestezie locală. Metoda prin care se tratează retragerea gingiei depinde de aspectul clinic, preferințele pacientului și alte elemente pe care medicul dentist le va evalua în momentul consultației.
Tratamentul chirurgical
Tratamentul chirurgical variază, în funcție de diagnostic. În primă etapă, se realizează tratamentul pentru oprirea din evoluție a bolii parodontale, urmând ca apoi să se realizeze partea estetică.
Tratamentul pentru gingie retrasă se realizează cu anestezie locală și constă în realizarea unei incizii, prin deplasarea gingiei spre coroana dintelui.
Indicația post chirurgicală implică o igienă orală mai riguroasă, control la 7 zile, pentru a vedea cum se vindecă, iar la 14 zile, pentru a scoate firele. Gingia crește la loc relativ repede, în condițiile respectării indicațiilor medicale.
Grefa gingivală
În cazurile unde retracția gingivală este foarte avansată, este indicat să fie aplicată o grefă gingivală. După realizarea unei astfel de intervenții, rezultatele din punct de vedere estetic se vor putea observa imediat, acestea fiind însoțite și de dispariția sensibilității și a durerii.
Pe termen lung, o intervenție cu grefă gingivală reprezintă protecție pentru dinții cu retracție gingivală. Intervenția se efectuează cu anestezie locală, iar pacientul nu simte durere sau disconfort în timpul acesteia. Grefa gingivală este preluată de pe cerul gurii și este amplasată la nivelul retracției gingivale.
Tratamentul medicamentos
Tratamentul medicamentos, în cazul retracțiilor gingivale, se administrează doar în cazul pacienților care se confruntă cu mai multe afecțiuni generale sau în cazul în care vorbim despre secreții purulente, abcese parodontale, pacienți care au suferit un transplant de organe sau persoanele cu o imunitate scăzută.
Aceste probleme sunt considerate grave și pot determina complicații locale și generale.
Complicațiile retracției gingivale pot varia în mod semnificativ din punct de vedere al gravității. Descopera ce este abcesul dentar , cum se manifestă acesta, ce simptome produce și care sunt posibilele sale complicații!
Tratament naturist pentru gingii retrase
Tratamentul naturist pentru gingii retrase nu poate, în niciun caz, să înlocuiască intervenția medicală, dar o poate susține. Pentru retracție gingivală, tratamentul acasă poate include:
- Uleiul de cocos: clătirea gurii cu ulei de cocos pentru câteva minute poate ameliora inflamația gingiilor;
- Ceaiul verde: are efect antiinflamator și antioxidant și poate contribui la sănătatea gingiilor;
- Vitamina C: o dietă bogată în vitamina C ajută la menținerea sănătății gingiilor;
- Clătirea cu apă sărată: apa sărată are efect antibacterian și poate reduce inflamația și numărul de bacterii din cavitatea bucală;
- Aloe Vera: gelul de Aloe Vera are proprietăți antiinflamatorii și cicatrizante și poate ajuta la vindecarea gingiilor [1].
Aceste metode naturale se pot utiliza, cu acordul medicului stomatolog, suplimentar față de igiena clasică a cavității bucale.

În cât timp se face regenerarea gingivală
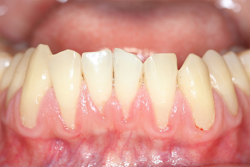
Gingia se regenerează după intervenție, destul de rapid. După o săptămână de la procedură, deja se poate observa o îmbunătățire din punct de vedere al aspectului, urmând ca după 14- 20 de zile gingia să fie refăcută complet.
Refacerea gingiei trebuie susținută printr-o igienă atentă, care poate include utilizarea unui gel pentru retracție gingivală sau al altor adjuvante la tratamentul pentru gingii retrase. Pasta de dinți pentru retracție gingivală e bine să fie una profesională, cu acțiune antibacteriană puternică.
Metode de prevenție
Principala cauză a apariției retracțiilor gingivale este reprezentată de igiena orală incorect realizată, astfel prevenția acesteia se poate realiza printr-o rutină corectă a curățării danturii. Nici o metoda de întărire a gingiilor nu poate acționa în condițiile unei igiene precare.
Medicii stomatologi explică faptul că o igienă orală corectă înseamnă un periaj dentar realizat de cel puțin două ori pe zi, dimineața și seara, eventual cu o pastă de dinți pentru gingii retrase, dar și folosirea a cel puțin o dată pe zi a metodelor adjuvante de curățare, și anume: ața dentară, apa de gură și dușul bucal.
Tehnica utilizată pentru realizarea periajului dentar este foarte importantă în ceea ce privește prevenția afecțiunilor gingivale.
Astfel, este necesar ca mișcările realizate să fie efectuate dinspre gingie spre dinte, cu perii orientați la 45 de grade.
De asemenea, pentru prevenirea retragerii gingiilor sunt recomandate controalele regulate la medicul stomatolog, la fiecare 6 luni. În cadrul acestora, se realizează o igienizare profesională a danturii, dar se pot observa și afecțiuni dentare, în stadiu incipient, ceea ce implică un tratament mult mai simplu și reduce la minimum riscul apariției complicațiilor.
Curățarea profesională a danturii este o etapă esențială a îngrijirii orale. Descopera de ce este important detartrajul dentar , care sunt beneficiile sale și cum se realizează!
Tratamentul pentru retracție gingivală este unul complex și de durată, iar o relație strânsă cu medicul dentist, respectarea precisă a indicațiilor acestuia și a datelor consultațiilor este cea mai eficientă metodă pentru regenerarea gingiilor.
Surse:
- https://www.healthline.com/health/natural-remedies-for-receding-gums