Contactează-ne!
Ai simptome care te supără? Solicită chiar acum un sfat medical specializat.
Ce trebuie să știi acum despre caninul inclus:
- Caninul inclus este un dinte definitiv care rămâne blocat în os sau sub gingie și nu erupe pe arcada dentară la momentul potrivit, fiind cel mai frecvent întâlnit după molarii de minte.
- Deși adesea nu doare, netratarea lui poate duce la pierderea dinților vecini, chisturi sau probleme estetice majore.
- Tratamentul ideal este tracțiunea ortodontică, o procedură prin care dintele este adus pe poziția corectă cu ajutorul aparatului dentar.
Citește acest articol pentru a înțelege cum poți rezolva această problemă stomatologică frecventă cu ajutorul specialiștilor.
- Ce este caninul inclus și care este rolul său?
- De ce nu erupe caninul? Cauzele incluziei
- Simptome și riscuri: ce se întâmplă dacă este lăsat netratat?
- Diagnosticul de precizie: de la radiografie la imagistica 3D
- Tracțiunea ortodontică: tratamentul care salvează caninul
- Abordarea multidisciplinară Regina Maria Dental Clinics: chirurgie și ortodonție
- Când este necesară extracția caninului inclus?
- Pași concreți de urmat dacă suspectezi un canin inclus
- Întrebări frecvente despre caninul inclus
Ce este caninul inclus și care este rolul său?
Caninul inclus este acel dinte care nu a apărut în cavitatea bucală la vârsta normală de erupție (în jurul vârstei de 11-13 ani) și și-a finalizat formarea rădăcinii în interiorul osului. Caninii sunt esențiali pentru o mușcătură corectă și pentru estetica feței, fiind considerați „stâlpii de rezistență” ai arcadelor dentare.
Rolul caninilor este vital din mai multe perspective, motiv pentru care medicii ortodonți fac tot posibilul să îi salveze și să îi aducă pe arcadă. Aceștia au cele mai lungi rădăcini dintre toți dinții, oferind stabilitate ocluziei (mușcăturii).
Importanța caninilor în dentiție:
- Funcțional: Sunt responsabili pentru sfâșierea alimentelor și ghidează mișcările laterale ale mandibulei.
- Estetic: Susțin colțurile gurii și buzele; lipsa lor poate duce la un aspect îmbătrânit prematur al feței.
- Stabilitate: Odată aliniați corect, mențin forma arcadei și previn deplasarea celorlalți dinți.
Pentru a înțelege mai bine locul și funcția fiecărui dinte în ansamblul zâmbetului tău, poți citi un articol detaliat despre anatomia dentară.👉 Află câți dinți avem și ce rol are fiecare în procesul de masticație și vorbire!
De ce nu erupe caninul? Cauzele incluziei
Cele mai frecvente cauze ale caninului inclus sunt lipsa spațiului pe arcada dentară sau factorii genetici care determină o poziție anormală a mugurelui dentar. Uneori, dintele se blochează pur și simplu într-un os dens sau este împiedicat de rădăcinile dinților vecini.
Factorii care contribuie la blocarea erupției dentare pot fi de natură locală sau generală. Este important să știi că această problemă poate fi moștenită.
Cauze principale:
- Înghesuirea dentară: Când maxilarul este prea mic, nu există suficient loc pentru ca dintele să iasă.
- Pierderea prematură a dinților de lapte: Dacă caninul de lapte cade prea devreme sau, dimpotrivă, nu cade la timp, poate devia traseul caninului permanent.
- Genetica: Există o predispoziție familială pentru anomaliile de erupție, în special pentru poziția palatinală (în cerul gurii).
- Traumatisme: Loviturile în zona feței în timpul copilăriei pot afecta mugurele dintelui permanent.
Simptome și riscuri: ce se întâmplă dacă este lăsat netratat?
De cele mai multe ori, caninul inclus nu provoacă durere în stadiile inițiale, motiv pentru care pacientul observă problema doar când constată că dintele de lapte nu a căzut sau că există un spațiu gol pe arcadă. Totuși, lăsat netratat, acesta poate provoca distrugerea rădăcinilor dinților vecini (resorbție radiculară) sau formarea de chisturi.
Chiar dacă nu simți disconfort, un dinte blocat în os este o „bombă cu ceas” pentru sănătatea dentară. Dacă caninul este situat palatinal (în cerul gurii), poți simți uneori o umflătură în spatele dinților frontali.
Semne și complicații posibile:
O astfel de situație netratată duce frecvent la probleme complexe de aliniere și mușcătură. 👉 Descoperă cum anomaliile de poziție influențează sănătatea orală în articolul despre malocluzie dentară: cauze, simptome și tratament pentru dinții nealiniați corespunzător!
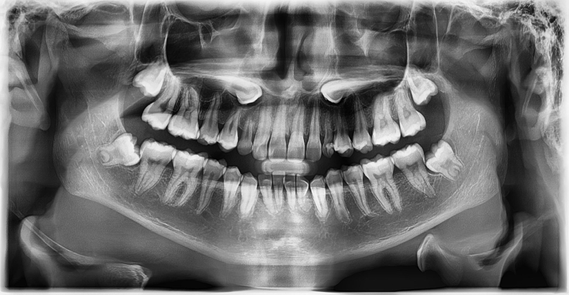
Diagnosticul de precizie: de la radiografie la imagistica 3D
Diagnosticul de certitudine se stabilește în cabinetul medicului ortodont, care va corobora examenul clinic (palparea unei umflături în gingie sau în cerul gurii) cu investigațiile imagistice. Tehnologia modernă, precum CBCT-ul (tomografia computerizată cu fascicul conic), este standardul de aur pentru a vedea exact poziția tridimensională a dintelui.
Regina Maria Dental Clinics investește în tehnologie și AI, oferind pacienților laboratoare inteligente și echipamente de ultimă generație. În centrele de imagistică dentară, medicii folosesc radiografii digitale cu doze reduse de radiații pentru o siguranță maximă.
Etapele diagnosticului:
- Examen clinic: Medicul numără dinții și palpează procesul alveolar.
- Radiografie panoramică: Oferă o imagine de ansamblu a tuturor dinților și maxilarelor.
- CBCT (3D): Este crucial pentru a vedea raportul caninului cu rădăcinile dinților vecini și pentru a planifica direcția de tracțiune fără a afecta structurile din jur.
👉 Pentru un diagnostic de certitudine și un plan de tratament corect, ai nevoie de imagistică de înaltă precizie. Programează-te acum în centrele de radiologie dentară Regina Maria Dental Clinics!
Tracțiunea ortodontică: tratamentul care salvează caninul
Cea mai eficientă metodă de tratament este tracțiunea ortodontică, un proces prin care se creează spațiu pe arcadă cu ajutorul aparatului dentar, urmat de ghidarea lentă a caninului inclus către poziția sa corectă. Este un tratament care necesită răbdare, dar care oferă rezultate excelente, păstrând dintele natural.
Procesul implică o colaborare strânsă între tine și medic. Mai întâi, se montează aparatul dentar pentru a alinia ceilalți dinți și a face loc caninului.
Etapele tratamentului:
- Pregătirea spațiului: Aparatul dentar fixează și distanțează dinții vecini.
- Descoperirea chirurgicală: O mică intervenție prin care se expune coroana dintelui inclus.
- Ancorarea: Se lipește un buton sau un bracket special pe caninul descoperit.
- Tracțiunea propriu-zisă: Se aplică o forță ușoară și constantă (prin lanțuri elastice sau fire) pentru a trage dintele pe arcadă.
Dacă te gândești să începi acest tratament, este esențial să înțelegi cum funcționează aparatele moderne.
👉 Citește mai multe despre aparatul dentar: ce înseamnă îndreptarea dinților și care e varianta potrivită pentru stilul tău de viață!
Abordarea multidisciplinară Regina Maria Dental Clinics: chirurgie și ortodonție
Succesul aducerii pe arcadă a unui canin inclus depinde de echipa mixtă formată din medicul ortodont și medicul chirurg. În cadrul Regina Maria Dental Clinics - cea mai extinsă rețea dedicată medicinei dentare din România, ai acces la o abordare integrată, deoarece specialiștii lucrează împreună sub același acoperiș pentru a minimiza disconfortul și a maximiza șansele de reușită.
Chirurgul este cel care realizează expunerea dintelui ascuns, într-o manoperă minim invazivă, realizată sub anestezie locală. Intervenția este rapidă și vindecarea, de obicei, lipsită de complicații majore.
Beneficiile abordării integrate:
- Comunicare directă între specialiști pentru un plan de tratament coerent.
- Acces la tehnologie de vârf pentru planificarea intervenției.
- Monitorizare atentă postchirurgicală.
Când este necesară extracția caninului inclus?
Deși prioritatea este salvarea dintelui, există situații rare în care caninul inclus trebuie extras. Acest lucru se întâmplă dacă dintele este anchilozat (sudat de os și imposibil de mișcat), dacă poziția sa pune în pericol grav dinții vecini sau dacă pacientul refuză tratamentul ortodontic de lungă durată.
Decizia de extracție nu se ia ușor. În cazul în care caninul este scos, spațiul rămas trebuie gestionat fie prin închiderea lui cu ajutorul aparatului dentar (aducerea premolarului în locul caninului), fie prin înlocuirea dintelui.
Opțiuni după extracție:
- Implant dentar: Cea mai bună soluție pentru a înlocui un dinte lipsă, păstrând osul intact.
- Punte dentară: O lucrare protetică ce se sprijină pe dinții vecini.
- Camuflarea ortodontică: Modificarea formei premolarului pentru a semăna cu un canin.
În cazul în care extracția este singura soluție, estetica zâmbetului tău poate fi restabilită complet prin metode moderne de protetică. 👉 Vezi ce presupun opțiunile de restaurare dentară prin coroane fațete pentru un aspect natural și armonios!
Pași concreți de urmat dacă suspectezi un canin inclus
Pentru a preveni complicațiile și a asigura un zâmbet sănătos, iată ce poți face chiar acum:
- Verifică prezența caninilor: Dacă ai peste 13 ani și încă ai un canin de lapte sau un spațiu gol în acea zonă, programează un consult.
- Palpează gingia: Dacă simți o umflătură în cerul gurii sau deasupra dinților, poate fi semnul unui dinte inclus.
- Mergi la ortodont: Doar un specialist poate evalua corect situația.
- Nu amâna radiografia: O simplă radiografie panoramică poate clarifica diagnosticul în câteva minute.
- Cere o a doua opinie: Dacă ți s-a propus extracția directă, întreabă dacă există șanse de salvare prin tracțiune.
Regina Maria – rețeaua de sănătate care a adus abonamentul medical în România și are grijă de peste 7,4 milioane de pacienți, te așteaptă cu o echipă de medici supraspecializați gata să îți ofere cele mai bune soluții pentru sănătatea ta orală.
Întrebări frecvente despre caninul inclus
Cât durează tratamentul de aducere a caninului pe arcadă?
Durata tratamentului variază foarte mult în funcție de poziția dintelui, vârsta pacientului și densitatea osului. În general, procesul de tracțiune poate dura între 12 și 24 de luni, uneori chiar mai mult în cazurile complexe. Este un proces lent pentru a proteja sănătatea dintelui și a țesuturilor de susținere.
Este dureroasă intervenția de descoperire a dintelui inclus?
Nu, intervenția chirurgicală propriu-zisă se realizează sub anestezie locală, deci nu vei simți durere. După trecerea efectului anesteziei, poate apărea un disconfort moderat sau o ușoară umflătură, care se gestionează ușor cu analgezice obișnuite prescrise de medic.
Se poate face tracțiunea caninului și la adulți?
Da, tracțiunea caninului inclus este posibilă și la adulți, nu doar la copii sau adolescenți. Totuși, la vârsta adultă osul este mai dens, ceea ce poate face ca mișcarea dintelui să fie mai lentă, iar riscul de anchiloză (blocare a dintelui în os) este ușor mai crescut. Succesul depinde de evaluarea individuală.
Ce se întâmplă dacă aleg să nu tratez caninul inclus?
Dacă decizi să nu intervii, medicul va monitoriza periodic dintele prin radiografii pentru a se asigura că nu apar chisturi sau că nu afectează rădăcinile vecinilor. Totuși, riscul de complicații rămâne pe viață, iar estetica și funcționalitatea mușcăturii vor fi compromise.
Pot folosi Invisalign pentru caninul inclus?
În anumite cazuri mai puțin complexe, aliniatorii transparenți pot fi folosiți pentru a crea spațiu, dar tracțiunea propriu-zisă a unui canin profund inclus necesită adesea mecanici auxiliare complexe care sunt mai ușor de gestionat cu aparate dentare fixe. Medicul ortodont îți va spune dacă ești un candidat potrivit pentru aliniatori.
Ce înseamnă dacă am un canin inclus palatinal?
Un canin situat palatinal se află poziționat spre cerul gurii, în spatele incisivilor, și nu spre obraz. Aceasta este o formă comună de incluzie care necesită o colaborare strânsă între chirurg și ortodont pentru a fi rezolvată. Deși accesul este diferit față de poziția vestibulară, tratamentul prin tracțiune ortodontică este eficient și aduce dintele în poziția corectă fără a afecta estetica feței.
⚠️ Disclaimer: Acest articol este cu titlu informativ și nu constituie o recomandare medicală. Informațiile din acest material nu înlocuiesc consultul medical sau recomandările specialistului.
Bibliografie:
American Association of Orthodontists (AAO), What is an impacted tooth?, fara data. https://aaoinfo.org/whats-trending/what-is-an-impacted-tooth/
National Center for Biotechnology Information (NCBI), Orthodontic treatment in impacted maxillary canines. A review, 2021. https://pmc.ncbi.nlm.nih.gov/articles/PMC10919802/
MDPI Dentistry Journal, Treatment Options in Impacted Maxillary Canines: A Comprehensive Review, 2025. https://www.mdpi.com/2304-6767/13/9/433
National Center for Biotechnology Information (NCBI), The effect of using CBCT in the diagnosis of canine impaction and its impact on treatment outcome, 2014. https://pmc.ncbi.nlm.nih.gov/articles/PMC4077106/
Journal of the American Dental Association (JADA), Impacted canines, 2010. https://jada.ada.org/article/S0002-8177(14)61045-X/fulltext
