Contactează-ne!
Ai simptome care te supără? Solicită chiar acum un sfat medical specializat.
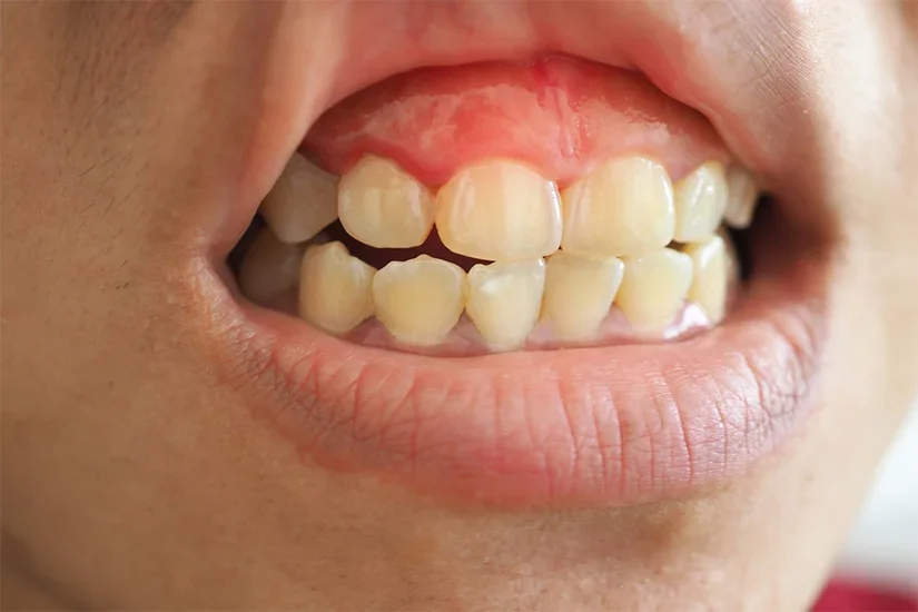
Ce este gingivita și ce cauze duc la gingiile inflamate la copii?
Gingivita reprezintă o afecțiune orală ce poate apărea atât în cazul adulților, cât și al copiilor. Aceasta este o inflamație a gingiilor și este considerată una dintre cele mai ușoare forme ale afecțiunilor gingivale. Atunci când ne referim la cauzele apariției gingivitei, putem vorbi, în primul rând, despre neglijarea igienei orale. Este necesar să știm că, odată ce placa bacteriană și tartrul se acumulează pe suprafața dinților, acestea irită, în timp, gingiile și duc la apariția inflamațiilor, observându-se astfel aspectul de gingie umflată și dureroasă, gingie roșie și dureroasă și chiar gingie sângerândă.
Patologia orală a copiilor este foarte diversă, aceștia nefiind feriți de aproape nici una dintre problemele care îi afectează în mod obișnuit pe adulți. Iată ce probleme pot determina dureri de gingii și cum se intervine în cazul fiecăreia dintre ele.
Cum apare placa bacteriană?
Placa bacteriană reprezintă o acumulare de microbi sub formă de depozit moale. Aceasta nu aderă doar pe suprafața dinților, ci pe toate structurile prezente în cavitatea orală. Cantitatea de placă bacteriană diferă la fiecare persoană în parte, în funcție de igiena orală realizată, de dieta alimentară, de cantitatea de salivă, de aranjarea dinților pe arcade ori de prezența unor afecțiuni generale a organismului.
Inițial, placa bacteriană este reprezentată de o peliculă primară, care acoperă dintele. Ulterior, bacteriile se depun sub formă de straturi, iar pelicula primară se transformă în placă bacteriană. Odată formată, placa bacteriană continuă să se populeze cu bacterii secundare, să se maturizeze.
Placa bacteriană se formează în mod continuu și se acumulează în permanență pe dinți, ducând la apariția afecțiunilor orale. Placa bacteriană în zonele greu accesibile se transformă în tartru dentar, care poate împinge gingia și, în timp, poate duce la dezlipirea acesteia de pe dinte. De aceea, este necesară îndepărtarea plăcii bacteriene de pe structurile orale, prin respectarea unor reguli de igienă și alimentație, care vor păstra dinții sănătoși.
Gustările pe care le consumă cei mici pot, de asemenea, să crească riscul pentru dezvoltarea bolii gingivale. De exemplu, atunci când copiii consumă frecvent alimente dulci și sucuri carbogazoase, iar apoi nu se realizează un periaj dentar corect, crește riscul apariției afecțiunilor, deoarece zaharurile, alimentele cu amidon și cu acid afectează smalțul dentar. Dieta bogată în zahăr, cu multe gustări, poate contribui la apariția afecțiunilor dentare, întrucât nu există timp suficient între mese, pentru ca dinții să se recupereze în urma plăcii acide, formate de masa precedentă, și să se remineralizeze.
În gingivită, tratamentul pentru a combate inflamarea gingiilor se bazează, în mare parte, pe o igienă orală corectă, efectuată de către părinte sau de copil, sub supravegherea adultului.
Probleme cu gingiile: tipuri de gingivită
Gingivita se poate clasifica în două categorii; astfel, putem vorbi despre gingivita acută și despre gingivita cronică.
Gingivita acută
Gingivita acută se poate asocia cu infecții specifice, induse de către placa bacteriană, care acoperă dinții și gingiile. Forma acută a gingivitei implică dureri foarte mari la nivelul gingiilor, sângerări abundente și chiar ulcerații bucale. Această formă a afecțiunii nu este foarte des întâlnită, cazurile fiind destul de rare.
Gingivita cronică
Gingivita cronică este frecvent întâlnită la copii și se manifestă prin umflarea țesutului gingival, înroșirea acestuia și, în unele cazuri, apariția sângerărilor. În acest caz, durerile gingivale sunt moderate și se poate vorbi, mai degrabă, despre gingii sensibile. Astfel de situații apar și atunci când, după realizarea tratamentelor necesare, nu sunt respectate recomandările medicilor stomatologi legate de igiena orală corect realizată. Atunci când nu este tratată, aceasta poate avansa spre forme mai grave ale afecțiunilor gingivale, și anume boala parodontală.

Simptome ale gingivitei la copii
Primele semne pe care le putem observa sunt înroșirea, umflarea și chiar sângerarea gingiilor, mai ales în timpul periajului dentar. În unele cazuri, sângerarea poate apărea atunci când cel mic mănâncă alimente mai tari, de exemplu, mere, pere sau morcovi. De asemenea, respirația neplăcută poate fi un semn precoce al inflamației gingivale la copii.
Durerea dentară este una dintre cele mai puternice tipuri de durere pe care le poți simți, iar gândul că aceasta îl poate afecta pe micuțul tău este neliniștitor. Iată care sunt cauzele frecvente ale durerii de dinti la copii si cum sa intervii !
Când trebuie să mergi la medicul pedodont?
Este foarte important ca cel mic să fie consultat de către medicul specialist pedodont, imediat ce apar semnele sau simptomele prezentate mai sus. Copiii pot experimenta astfel de afecțiuni într-un mod diferit față de adulți și se pot speria foarte repede, atunci când apar sângerările, de exemplu. De aceea, este recomandat să facem o programare la medicul pedodont cât mai repede, pentru a trata afecțiunea în stadiu incipient, atunci când tehnicile utilizate de către medici nu sunt atât de complexe și nu îi pot provoca și mai multă teamă copilului.
Care sunt tratamentele sau remediile pentru gingivită la copii
Odată ce copilul este consultat de către medicul pedodont, afecțiunea va putea fi diagnosticată corect și va putea fi recomandată cea mai potrivită opțiune de tratament al gingivitei la copii.
De cele mai multe ori, gingivita la copii se tratează cu ajutorul periajului profesional sau detartrajului dentar, realizat de către medic, prin care se înlătură placa bacteriană și tartrul. În unele cazuri, în funcție de stadiul afecțiunii, medicul poate recomanda un tratament medicamentos, constând, în funcție de caz, în administrarea de antibiotic pentru gingii inflamate sau a unui antiinflamator pentru gingii.
Gingivita reprezintă o problemă serioasă de sănătate orală, care trebuie tratată prompt și eficient, pentru a preveni apariția complicațiilor. Iată care sunt situatiile in care se ia in considerare administrarea de antibiotic , în cazul gingivitei!
După vizita la medicul stomatolog, este foarte important să fie respectate regulile de igienă dentară acasă și să nu se neglijeze vizitele regulate la stomatolog, la fiecare 6 luni. Părintele va asigura administrarea corectă a medicamentelor pentru gingie umflată, prescrise de către medic, va monitoriza tratamentul pentru sângerarea gingiilor și efectele acestuia și va ajuta copilul să realizeze o igienă orală corectă.
Cum se face igiena corectă a gingiilor pentru a preveni apariția afecțiunii?
Indiferent dacă cel mic are sau nu probleme la nivelul cavității orale, igiena orală este extrem de importantă. Este indicat ca aceasta să înceapă încă de la apariția primului dinte de lapte, atunci când părinții pot șterge cavitatea orală a micuțului cu ajutorul unui degetar sau al unui tifon steril. O igienă orală bună înseamnă curățarea dinților de cel puțin două ori pe zi, dimineața și seara.
Atunci când este posibil, periajul este recomandat după fiecare masă sau chiar după fiecare gustare.
Igiena orală începe încă de la naștere, iar igiena dentară trebuie să intre în rutina copilului încă de la erupția primului dințișor. Iată cand si cum apar primii dinti ai bebelusului , la ce simptome te poți aștepta și cum să îi alini disconfortul în mod sigur și eficient!
Pentru a nu întâmpina probleme, este recomandat ca cei mici să fie obișnuiți cu periajul dentar încă de la cele mai fragede vârste, atunci când le putem explica pe înțelesul lor de ce au nevoie ca dințișorii să fie curățați zilnic. Pentru o bună igienă orală, este important ca periuța de dinți să fie adaptată nevoilor celor mici și să fie potrivită pentru vârsta acestora. În funcție de vârsta copilului, periajul dentar poate fi realizat de părinți sau de către copii, sub supravegherea adulților.
Tratarea gingivitei la copii se poate realiza sub îndrumarea medicului pedodont și este important ca acesta să fie contactat încă de la primele semne de îngrijorare. Deși apare cel mai adesea pe fondul unei igiene orale insuficiente, gingivita la copii poate fi tratată cu succes. Ține legătura cu medicul pedodont, pentru sănătatea orală a micuțului tău!